提醒成功

搜索
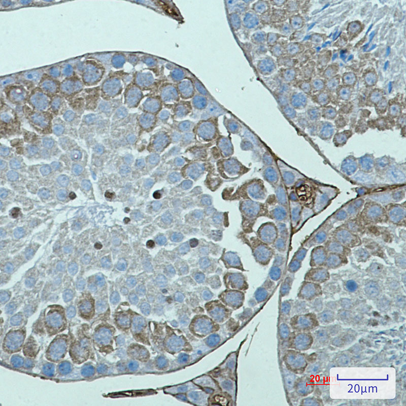
Rabbit Monoclonal Antibody to AVEN
-
货号:
P21102 -
别名:
PDCD12 -
应用:
WB,IHC -
反应种属:
Human,Mouse,Rat -
抗体类型:
Primary antibody -
Swissprot:
Q9NQS1 -
规格:
-
数量:
-+ -
说明书:
目录价¥2180

Rabbit Monoclonal Antibody to AVEN
Description |
---|
Protects against apoptosis mediated by Apaf-1. |
Specification |
|
---|---|
Aliases | PDCD12 |
Entrez GeneID | 57099 |
Swissprot | Q9NQS1 |
WB Predicted band size | Calculated MW: 39 kDa; Observed MW: 50 kDa |
Host/Isotype | Rabbit IgG |
Antibody Type | Primary antibody |
Storage | Store at 4°C short term. Aliquot and store at -20°C long term. Avoid freeze/thaw cycles. |
Species Reactivity | Human,Mouse,Rat |
Immunogen | A synthetic peptide of human AVEN |
Formulation | Purified antibody in TBS with 0.05% sodium azide,0.05%BSA and 50% glycerol. |
Application |
|
---|---|
WB | 1/500-1/1000 |
IHC | 1/50-1/100 |
Product Image
For Reseach Only
Application Key:WB - Western Blot | IHC - Immunohistochemistry | ICC - Immunocytochemistry | FCM - Flow Cytometry | ELISA - Enzyme-linked Immunosorbent Assay | IP - Immunoprecipitation
#P21102

相关产品


