提醒成功

搜索
Rabbit Monoclonal Antibody to 14-3-3
-
货号:
P20989 -
别名:
YWHAB; 14-3-3 protein beta/alpha; Protein 1054; Protein kinase C inhibitor protein 1; KCIP-1 -
应用:
WB,IHC -
反应种属:
Human,Mouse,Rat -
抗体类型:
Primary antibody -
Swissprot:
P31946 -
规格:
-
数量:
-+ -
说明书:
目录价¥2180

Rabbit Monoclonal Antibody to 14-3-3
Description |
---|
Adapter protein implicated in the regulation of a large spectrum of both general and specialized signaling pathways. Binds to a large number of partners, usually by recognition of a phosphoserine or phosphothreonine motif. Binding generally results in the modulation of the activity of the binding partner. Negative regulator of osteogenesis. |
Specification |
|
---|---|
Aliases | YWHAB; 14-3-3 protein beta/alpha; Protein 1054; Protein kinase C inhibitor protein 1; KCIP-1 |
Entrez GeneID | 7529 |
Swissprot | P31946 |
WB Predicted band size | Calculated MW: 28 kDa; Observed MW: 28 kDa |
Host/Isotype | Rabbit IgG |
Antibody Type | Primary antibody |
Storage | Store at 4°C short term. Aliquot and store at -20°C long term. Avoid freeze/thaw cycles. |
Species Reactivity | Human,Mouse,Rat |
Immunogen | A synthetic peptide of human 14-3-3 |
Formulation | Purified antibody in TBS with 0.05% sodium azide,0.05%BSA and 50% glycerol. |
Application |
|
---|---|
WB | 1/500-1/1000 |
IHC | 1/50-1/100 |
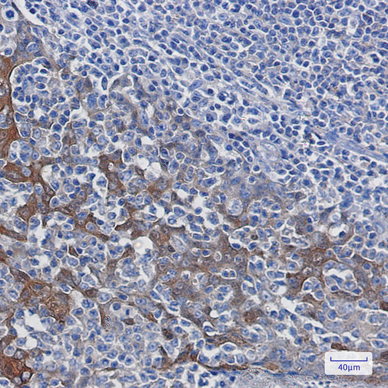
Product Image
For Reseach Only
Application Key:WB - Western Blot | IHC - Immunohistochemistry | ICC - Immunocytochemistry | FCM - Flow Cytometry | ELISA - Enzyme-linked Immunosorbent Assay | IP - Immunoprecipitation
#P20989

相关产品


