提醒成功

搜索
Rabbit Monoclonal Antibody to Amyloid Precursor Protein
-
货号:
P20977 -
别名:
APP; A4; AD1; Amyloid beta A4 protein; ABPP; APPI; APP; Alzheimer disease amyloid protein; Cerebral vascular amyloid peptide; CVAP; PreA4; Protease nexin-II; PN-II -
应用:
WB,IHC,IF -
反应种属:
Human,Mouse,Rat -
抗体类型:
Primary antibody -
Swissprot:
P05067 -
规格:
-
数量:
-+ -
说明书:
目录价¥2180

Rabbit Monoclonal Antibody to Amyloid Precursor Protein
Description |
---|
APP a cell surface receptor that influences neurite growth, neuronal adhesion and axonogenesis. Cleaved by secretases to form a number of peptides, some of which bind to the acetyltransferase complex Fe65/TIP60 to promote transcriptional activation. |
Specification |
|
---|---|
Aliases | APP; A4; AD1; Amyloid beta A4 protein; ABPP; APPI; APP; Alzheimer disease amyloid protein; Cerebral vascular amyloid peptide; CVAP; PreA4; Protease nexin-II; PN-II |
Entrez GeneID | 351 |
Swissprot | P05067 |
WB Predicted band size | Calculated MW: 87 kDa; Observed MW: 100 kDa |
Host/Isotype | Rabbit IgG |
Antibody Type | Primary antibody |
Storage | Store at 4°C short term. Aliquot and store at -20°C long term. Avoid freeze/thaw cycles. |
Species Reactivity | Human,Mouse,Rat |
Immunogen | A synthetic peptide of human Amyloid Precursor Protein |
Formulation | Purified antibody in TBS with 0.05% sodium azide,0.05%BSA and 50% glycerol. |
Application |
|
---|---|
WB | 1/500-1/1000 |
IHC | 1/50-1/100 |
IF/ICC | 1/50-1/200 |
Product Image
- Western blot analysis of Amyloid Precursor Protein in mouse brain lysates using Amyloid Precursor Protein antibody.
- Western blot analysis of Amyloid Precursor Protein in rat Brain lysates using Amyloid Precursor Protein antibody.
- Immunocytochemistry analysis of Amyloid Precursor Protein(green) in Hela using Amyloid Precursor Protein antibody,and DAPI(blue).
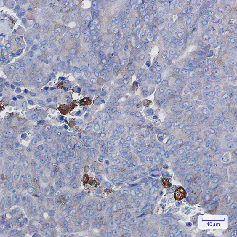
- Immunohistochemistry analysis of paraffin-embedded Human breast cancer using Amyloid Precursor Protein antibody. High-pressure and temperature Sodium Citrate pH 6.0 was used for antigen retrieval.
For Reseach Only
Application Key:WB - Western Blot | IHC - Immunohistochemistry | ICC - Immunocytochemistry | FCM - Flow Cytometry | ELISA - Enzyme-linked Immunosorbent Assay | IP - Immunoprecipitation
#P20977

相关产品


