提醒成功

搜索
Rabbit Monoclonal Antibody to ENO1
-
货号:
P20976 -
别名:
NNE; PPH; MPB1; ENO1L1; HEL-S-17 -
应用:
WB,IP,IHC,IF -
反应种属:
Human,Mouse,Rat -
抗体类型:
Primary antibody -
Swissprot:
P06733 -
规格:
-
数量:
-+ -
说明书:
目录价¥2180

Rabbit Monoclonal Antibody to ENO1
Description |
---|
Multifunctional enzyme that, as well as its role in glycolysis, plays a part in various processes such as growth control, hypoxia tolerance and allergic responses. May also function in the intravascular and pericellular fibrinolytic system due to its ability to serve as a receptor and activator of plasminogen on the cell surface of several cell-types such as leukocytes and neurons. Stimulates immunoglobulin production.MBP1 binds to the myc promoter and acts as a transcriptional repressor. May be a tumor suppressor.MiscellaneousUsed as a diagnostic marker for many tumors and, in the heterodimeric form, alpha/gamma, as a marker for hypoxic brain injury after cardiac arrest. Also marker for endometriosis. Antibodies against alpha-enolase are present in sera from patients with cancer-associated retinopathy syndrome (CAR), a progressive blinding disease which occurs in the presence of systemic tumor growth, primarily small-cell carcinoma of the lung and other malignancies. Is identified as an autoantigen in Hashimoto encephalopathy (HE) a rare autoimmune disease associated with Hashimoto thyroiditis (HT). HT is a disorder in which destructive processes overcome the potential capacity of thyroid replacement leading to hypothyroidism. |
Specification |
|
---|---|
Aliases | NNE; PPH; MPB1; ENO1L1; HEL-S-17 |
Entrez GeneID | 2023 |
Swissprot | P06733 |
WB Predicted band size | Calculated MW: 47 kDa; Observed MW: 47 kDa |
Host/Isotype | Rabbit IgG |
Antibody Type | Primary antibody |
Storage | Store at 4°C short term. Aliquot and store at -20°C long term. Avoid freeze/thaw cycles. |
Species Reactivity | Human,Mouse,Rat |
Immunogen | A synthetic peptide of human ENO1 |
Formulation | Purified antibody in TBS with 0.05% sodium azide,0.05%BSA and 50% glycerol. |
Application |
|
---|---|
WB | 1/500-1/1000 |
IP | 1/10-1/20 |
IHC | 1/50-1/100 |
IF/ICC | 1/50-1/200 |
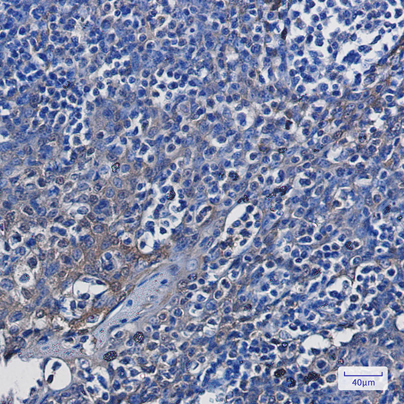
Product Image
- Western blot analysis of ENO1 in mouse brain, mouse heart lysates using ENO1 antibody.
- Western blot analysis of ENO1 in Jurkat, rat Brain, C6, Hela lysates using ENO1 antibody.
- Immunocytochemistry analysis of ENO1(green) in Hela using ENO1 antibody,and DAPI(blue)
- Immunohistochemistry analysis of paraffin-embedded Human tonsil using ENO1 antibody.High-pressure and temperature Sodium Citrate pH 6.0 was used for antigen retrieval.
For Reseach Only
Application Key:WB - Western Blot | IHC - Immunohistochemistry | ICC - Immunocytochemistry | FCM - Flow Cytometry | ELISA - Enzyme-linked Immunosorbent Assay | IP - Immunoprecipitation
#P20976

相关产品


