提醒成功
搜索
Rabbit Monoclonal Antibody to IKB alpha
-
货号:
P20973 -
别名:
NFKBIA; IKBA; MAD3; NFKBI; NF-kappa-B inhibitor alpha; I-kappa-B-alpha; IkB-alpha; IkappaBalpha; Major histocompatibility complex enhancer-binding protein MAD3 -
应用:
WB,IP,IHC -
反应种属:
Human,Mouse,Rat -
抗体类型:
Primary antibody -
Swissprot:
P25963 -
规格:
-
数量:
-+ -
说明书:
目录价¥2180
Rabbit Monoclonal Antibody to IKB alpha
Description |
|---|
NFKB1 (MIM 164011) or NFKB2 (MIM 164012) is bound to REL (MIM 164910), RELA (MIM 164014), or RELB (MIM 604758) to form the NFKB complex. The NFKB complex is inhibited by I-kappa-B proteins (NFKBIA or NFKBIB, MIM 604495), which inactivate NF-kappa-B by trapping it in the cytoplasm. |
Specification |
|
|---|---|
| Aliases | NFKBIA; IKBA; MAD3; NFKBI; NF-kappa-B inhibitor alpha; I-kappa-B-alpha; IkB-alpha; IkappaBalpha; Major histocompatibility complex enhancer-binding protein MAD3 |
| Entrez GeneID | 4792 |
| Swissprot | P25963 |
| WB Predicted band size | Calculated MW: 36 kDa; Observed MW: 39 kDa |
| Host/Isotype | Rabbit IgG |
| Antibody Type | Primary antibody |
| Storage | Store at 4°C short term. Aliquot and store at -20°C long term. Avoid freeze/thaw cycles. |
| Species Reactivity | Human,Mouse,Rat |
| Immunogen | A synthetic peptide of human IKB alpha |
| Formulation | Purified antibody in TBS with 0.05% sodium azide,0.05%BSA and 50% glycerol. |
Application |
|
|---|---|
| WB | 1/500-1/1000 |
| IP | 1/10-1/20 |
| IHC | 1/50-1/100 |
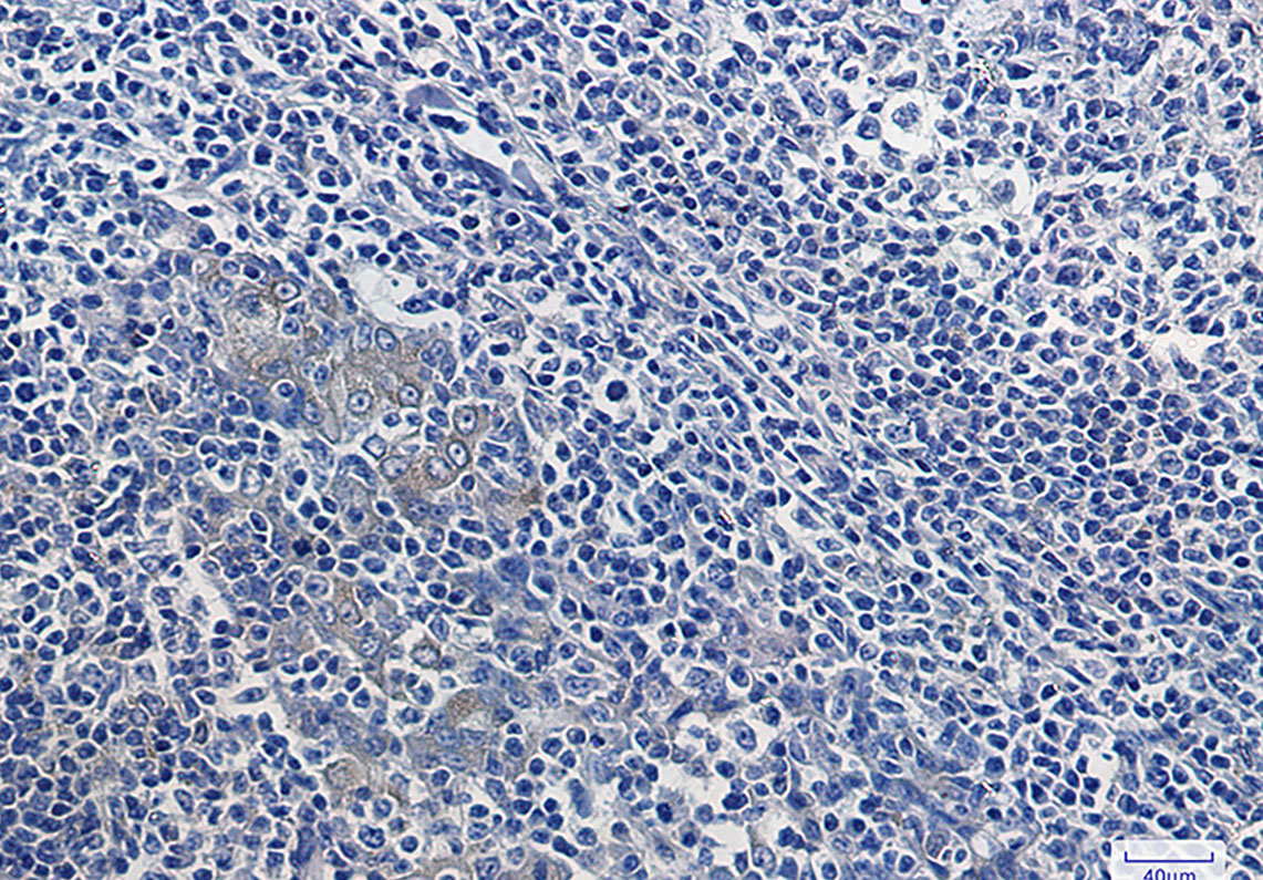
Product Image
- Western blot analysis of IKB alpha in PC-12, C6 lysates using IKB alpha antibody.
- Western blot analysis of IKB alpha in Raw264.7 lysates using IKB alpha antibody.
- Western blot analysis of IKB alpha in 3T3, Hela lysates using IKB alpha antibody
- Immunohistochemistry analysis of paraffin-embedded Human tonsil using IKB alpha antibody.High-pressure and temperature Sodium Citrate pH 6.0 was used for antigen retrieval.
For Reseach Only
Application Key:WB - Western Blot | IHC - Immunohistochemistry | ICC - Immunocytochemistry | FCM - Flow Cytometry | ELISA - Enzyme-linked Immunosorbent Assay | IP - Immunoprecipitation
#P20973
相关产品

微信/QQ登录


首页
