提醒成功
搜索
Rabbit Monoclonal Antibody to DDIT3
-
货号:
P20969 -
别名:
DDIT3; CHOP; CHOP10; GADD153; DNA damage-inducible transcript 3 protein; DDIT-3; C/EBP-homologous protein; CHOP; C/EBP-homologous protein 10; CHOP-10; Growth arrest and DNA damage-inducible protein GADD153 -
应用:
WB,IHC -
反应种属:
Human,Mouse -
抗体类型:
Primary antibody -
Swissprot:
P35638 -
规格:
-
数量:
-+ -
说明书:
目录价¥2180
Rabbit Monoclonal Antibody to DDIT3
Description |
|---|
Inhibits the DNA-binding activity of C/EBP and LAP by forming heterodimers that cannot bind DNA. |
Specification |
|
|---|---|
| Aliases | DDIT3; CHOP; CHOP10; GADD153; DNA damage-inducible transcript 3 protein; DDIT-3; C/EBP-homologous protein; CHOP; C/EBP-homologous protein 10; CHOP-10; Growth arrest and DNA damage-inducible protein GADD153 |
| Entrez GeneID | 1649 |
| Swissprot | P35638 |
| WB Predicted band size | Calculated MW: 19 kDa; Observed MW: 27 kDa |
| Host/Isotype | Rabbit IgG |
| Antibody Type | Primary antibody |
| Storage | Store at 4°C short term. Aliquot and store at -20°C long term. Avoid freeze/thaw cycles. |
| Species Reactivity | Human,Mouse |
| Immunogen | A synthetic peptide of human DDIT3 |
| Formulation | Purified antibody in TBS with 0.05% sodium azide,0.05%BSA and 50% glycerol. |
Application |
|
|---|---|
| WB | 1/500-1/1000 |
| IHC | 1/50-1/100 |
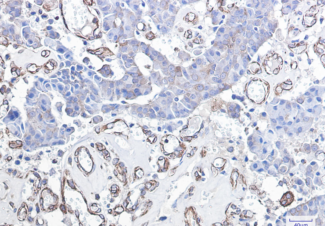
Product Image
- Western blot analysis of DDIT3 in 3T3 lysates using DDIT3 antibody.
- Western blot analysis of DDIT3 in K562, CHO-K1, Hela lysates using DDIT3 antibody.
- Immunohistochemistry analysis of paraffin-embedded Human breast cancer using DDIT3 antibody. High-pressure and temperature Sodium Citrate pH 6.0 was used for antigen retrieval.
For Reseach Only
Application Key:WB - Western Blot | IHC - Immunohistochemistry | ICC - Immunocytochemistry | FCM - Flow Cytometry | ELISA - Enzyme-linked Immunosorbent Assay | IP - Immunoprecipitation
#P20969
相关产品

微信/QQ登录


首页
