提醒成功
搜索
Rabbit Monoclonal Antibody to CD8 alpha
-
货号:
P20960 -
别名:
CD8A; MAL; T-cell surface glycoprotein CD8 alpha chain; T-lymphocyte differentiation antigen T8/Leu-2; CD antigen CD8a -
应用:
WB,IHC -
反应种属:
Human,Hamster -
抗体类型:
Primary antibody -
Swissprot:
P01732 -
规格:
-
数量:
-+ -
说明书:
目录价¥2180
Rabbit Monoclonal Antibody to CD8 alpha
Description |
|---|
Identifies cytotoxic/suppressor T-cells that interact with MHC class I bearing targets. CD8 is thought to play a role in the process of T-cell mediated killing. CD8 alpha chains binds to class I MHC molecules alpha-3 domains. |
Specification |
|
|---|---|
| Aliases | CD8A; MAL; T-cell surface glycoprotein CD8 alpha chain; T-lymphocyte differentiation antigen T8/Leu-2; CD antigen CD8a |
| Entrez GeneID | 925 |
| Swissprot | P01732 |
| WB Predicted band size | Calculated MW: 26 kDa; Observed MW: 29 kDa |
| Host/Isotype | Rabbit IgG |
| Antibody Type | Primary antibody |
| Storage | Store at 4°C short term. Aliquot and store at -20°C long term. Avoid freeze/thaw cycles. |
| Species Reactivity | Human,Hamster |
| Immunogen | A synthetic peptide of human CD8 |
| Formulation | Purified antibody in TBS with 0.05% sodium azide,0.05%BSA and 50% glycerol. |
Application |
|
|---|---|
| WB | 1/500-1/1000 |
| IHC | 1/50-1/100 |
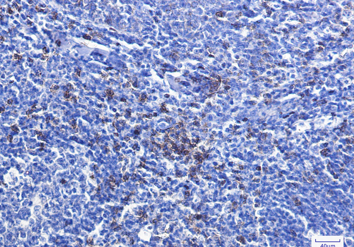
Product Image
- Western blot analysis of CD8 in THP-1 lysates using CD8 alpha antibody.
- Western blot analysis of CD8 in K562, CHO-K1, Hela lysates using CD8 antibody.
- Immunohistochemistry analysis of paraffin-embedded Human tonsil using CD8 antibody. High-pressure and temperature Sodium Citrate pH 6.0 was used for antigen retrieval.
For Reseach Only
Application Key:WB - Western Blot | IHC - Immunohistochemistry | ICC - Immunocytochemistry | FCM - Flow Cytometry | ELISA - Enzyme-linked Immunosorbent Assay | IP - Immunoprecipitation
#P20960
相关产品

微信/QQ登录


首页
