提醒成功

搜索
Rabbit Monoclonal Antibody to NEDD8
-
货号:
P20957 -
别名:
NEDD8; NEDD8; Neddylin; Neural precursor cell expressed developmentally down-regulated protein 8; NEDD-8; Ubiquitin-like protein Nedd8 -
应用:
WB,IP,IHC,IF -
反应种属:
Human -
抗体类型:
Primary antibody -
Swissprot:
Q15843 -
规格:
-
数量:
-+ -
说明书:
目录价¥2180

Rabbit Monoclonal Antibody to NEDD8
Description |
---|
Neural precursor cell-expressed developmentally downregulated protein 8 (NEDD8), also known as Rub1 (related to ubiquitin 1) in plants and yeast, is a member of the ubiquitin-like protein family. The covalent attachment of NEDD8 to target proteins, termed neddylation, is a reversible, multi-step process analogous to ubiquitination. |
Specification |
|
---|---|
Aliases | NEDD8; NEDD8; Neddylin; Neural precursor cell expressed developmentally down-regulated protein 8; NEDD-8; Ubiquitin-like protein Nedd8 |
Entrez GeneID | 4738 |
Swissprot | Q15843 |
WB Predicted band size | Calculated MW: 9 kDa; Observed MW: 9 kDa |
Host/Isotype | Rabbit IgG |
Antibody Type | Primary antibody |
Storage | Store at 4°C short term. Aliquot and store at -20°C long term. Avoid freeze/thaw cycles. |
Species Reactivity | Human |
Immunogen | A synthetic peptide of human NEDD8 |
Formulation | Purified antibody in TBS with 0.05% sodium azide,0.05%BSA and 50% glycerol. |
Application |
|
---|---|
WB | 1/500-1/1000 |
IP | 1/10-1/20 |
IHC | 1/50-1/100 |
IF/ICC | 1/50-1/200 |
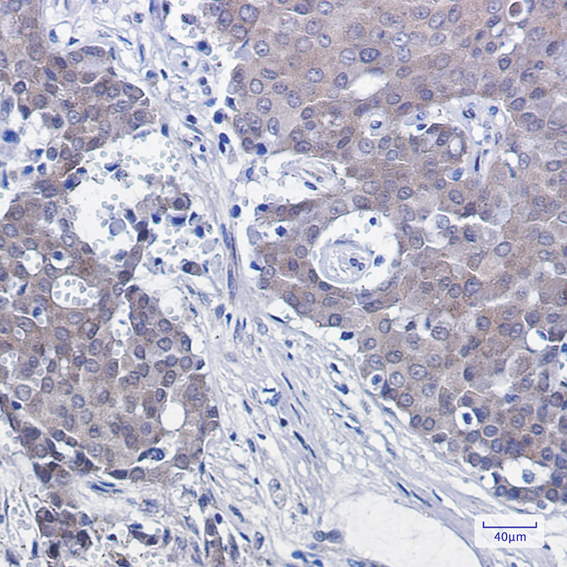
Product Image
- Western blot analysis of NEDD8 in Jurkat lysates using NEDD8 antibody.
- Immunocytochemistry analysis of NEDD8(green) in Hela using NEDD8 antibody,and DAPI(blue)
- Immunohistochemistry analysis of paraffin-embedded Human breast cancer using NEDD8 antibody. High-pressure and temperature Sodium Citrate pH 6.0 was used for antigen retrieval.
For Reseach Only
Application Key:WB - Western Blot | IHC - Immunohistochemistry | ICC - Immunocytochemistry | FCM - Flow Cytometry | ELISA - Enzyme-linked Immunosorbent Assay | IP - Immunoprecipitation
#P20957

相关产品


