提醒成功

搜索
Rabbit Monoclonal Antibody to Cytokeratin 10
-
货号:
P20955 -
别名:
KRT10; KPP; Keratin; type I cytoskeletal 10; Cytokeratin-10; CK-10; Keratin-10; K10 -
应用:
WB,IHC -
反应种属:
Human,Mouse,Rat,Hamster -
抗体类型:
Primary antibody -
Swissprot:
P13645 -
规格:
-
数量:
-+ -
说明书:
目录价¥2180

Rabbit Monoclonal Antibody to Cytokeratin 10
Description |
---|
K10 a type I cytoskeletal keratin. The keratins are intermediate filament proteins responsible for the structural integrity of epithelial cells and are subdivided into cytokeratins and hair keratins. There are two types of cytoskeletal and microfibrillar keratin: type I (acidic; 40-55 kDa) [K9 to K20] and type II (neutral to basic; 56-70 kDa) [K1 to K8]. Both a basic and an acidic keratin are required for filament assembly. |
Specification |
|
---|---|
Aliases | KRT10; KPP; Keratin; type I cytoskeletal 10; Cytokeratin-10; CK-10; Keratin-10; K10 |
Entrez GeneID | 3858 |
Swissprot | P13645 |
WB Predicted band size | Calculated MW: 59 kDa; Observed MW: 59 kDa |
Host/Isotype | Rabbit IgG |
Antibody Type | Primary antibody |
Storage | Store at 4°C short term. Aliquot and store at -20°C long term. Avoid freeze/thaw cycles. |
Species Reactivity | Human,Mouse,Rat,Hamster |
Immunogen | A synthetic peptide of human Cytokeratin 10 |
Formulation | Purified antibody in TBS with 0.05% sodium azide,0.05%BSA and 50% glycerol. |
Application |
|
---|---|
WB | 1/500-1/1000 |
IHC | 1/50-1/100 |
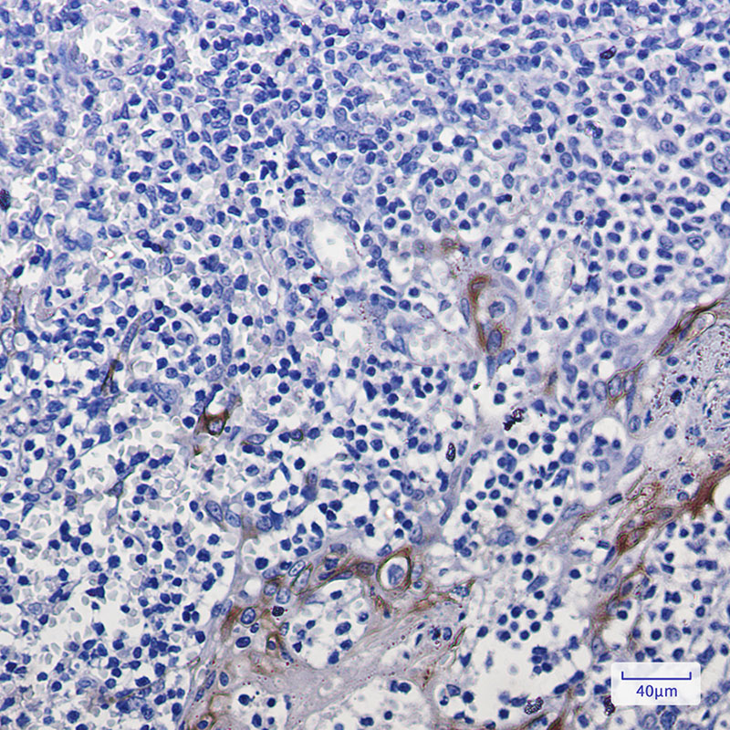
Product Image
- Western blot analysis of CytokeRatin 10 in rat skin, mouse skin lysates using Cytokeratin 10 antibody.
- Western blot analysis of Cytokeratin 10 in CHO-K1 lysates using Cytokeratin 10 antibody.
- Immunohistochemistry analysis of paraffin-embedded Human tonsil using Cytokeratin 10 antibody. High-pressure and temperature Sodium Citrate pH 6.0 was used for antigen retrieval.
For Reseach Only
Application Key:WB - Western Blot | IHC - Immunohistochemistry | ICC - Immunocytochemistry | FCM - Flow Cytometry | ELISA - Enzyme-linked Immunosorbent Assay | IP - Immunoprecipitation
#P20955

相关产品


