提醒成功

搜索
Rabbit Monoclonal Antibody to p16 ARC
-
货号:
P20954 -
别名:
p16 Arc; ARPC5; ARC16; Arp2/3 protein complex subunit p16 -
应用:
WB,IP,IHC -
反应种属:
Human,Mouse,Rat -
抗体类型:
Primary antibody -
Swissprot:
O15511 -
规格:
-
数量:
-+ -
说明书:
目录价¥2180

Rabbit Monoclonal Antibody to p16 ARC
Description |
---|
Functions as component of the Arp2/3 complex which is involved in regulation of actin polymerization and together with an activating nucleation-promoting factor (NPF) mediates the formation of branched actin networks. |
Specification |
|
---|---|
Aliases | p16 Arc; ARPC5; ARC16; Arp2/3 protein complex subunit p16 |
Entrez GeneID | 10092 |
Swissprot | O15511 |
WB Predicted band size | Calculated MW: 16 kDa; Observed MW: 16 kDa |
Host/Isotype | Rabbit IgG |
Antibody Type | Primary antibody |
Storage | Store at 4°C short term. Aliquot and store at -20°C long term. Avoid freeze/thaw cycles. |
Species Reactivity | Human,Mouse,Rat |
Immunogen | A synthetic peptide of human p16 ARC |
Formulation | Purified antibody in TBS with 0.05% sodium azide,0.05%BSA and 50% glycerol. |
Application |
|
---|---|
WB | 1/500-1/1000 |
IP | 1/10-1/20 |
IHC | 1/50-1/100 |
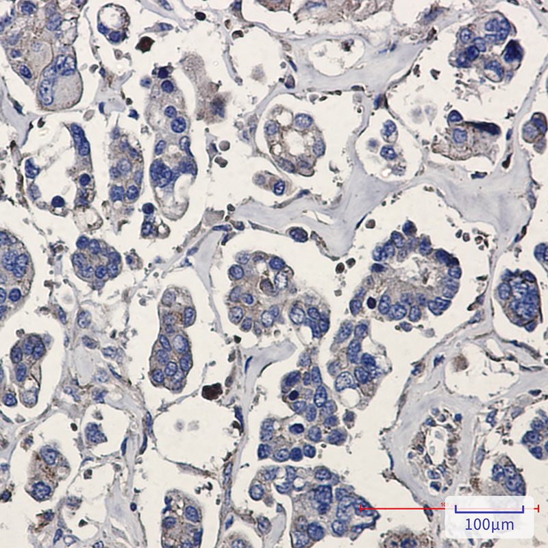
Product Image
For Reseach Only
Application Key:WB - Western Blot | IHC - Immunohistochemistry | ICC - Immunocytochemistry | FCM - Flow Cytometry | ELISA - Enzyme-linked Immunosorbent Assay | IP - Immunoprecipitation
#P20954

相关产品


