提醒成功

搜索
Rabbit Monoclonal Antibody to CD146
-
货号:
P20939 -
别名:
CD146; MUC18 -
应用:
WB,IHC,IF -
反应种属:
Human,Rat -
抗体类型:
Primary antibody -
Swissprot:
P43121 -
规格:
-
数量:
-+ -
说明书:
目录价¥2180

Rabbit Monoclonal Antibody to CD146
Description |
---|
CD146 plays a role in cell adhesion, and in cohesion of the endothelial monolayer at intercellular junctions in vascular tissue. Its expression may allow melanoma cells to interact with cellular elements of the vascular system, thereby enhancing hematogeneous tumor spread. Could be an adhesion molecule active in neural crest cells during embryonic development. |
Specification |
|
---|---|
Aliases | CD146; MUC18 |
Entrez GeneID | 4162 |
Swissprot | P43121 |
WB Predicted band size | Calculated MW: 72 kDa; Observed MW: 120 kDa |
Host/Isotype | Rabbit IgG |
Antibody Type | Primary antibody |
Storage | Store at 4°C short term. Aliquot and store at -20°C long term. Avoid freeze/thaw cycles. |
Species Reactivity | Human,Rat |
Immunogen | A synthetic peptide of human CD146 |
Formulation | Purified antibody in TBS with 0.05% sodium azide,0.05%BSA and 50% glycerol. |
Application |
|
---|---|
WB | 1/500-1/1000 |
IHC | 1/50-1/100 |
IF/ICC | 1/50-1/200 |
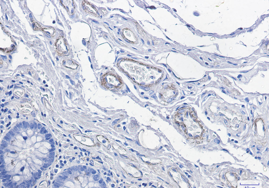
Product Image
- Western blot analysis of CD146 in C6, Hela lysates using CD146 antibody.
- Immunocytochemistry analysis of CD146 (green) in Hela using CD146 antibody,and DAPI(blue).
- Immunohistochemistry analysis of paraffin-embedded Human colon cancer tissue using CD146 antibody. High-pressure and temperature Sodium Citrate pH 6.0 was used for antigen retrieval.
For Reseach Only
Application Key:WB - Western Blot | IHC - Immunohistochemistry | ICC - Immunocytochemistry | FCM - Flow Cytometry | ELISA - Enzyme-linked Immunosorbent Assay | IP - Immunoprecipitation
#P20939

相关产品


