提醒成功
搜索
Rabbit Monoclonal Antibody to PARK7/DJ1
-
货号:
P20927 -
别名:
PARK7; Protein DJ-1; Oncogene DJ1; Parkinson disease protein 7 -
应用:
WB,IP,IHC,IF -
反应种属:
Human,Mouse,Rat -
抗体类型:
Primary antibody -
Swissprot:
Q99497 -
规格:
-
数量:
-+ -
说明书:
目录价¥2180
Rabbit Monoclonal Antibody to PARK7/DJ1
Description |
|---|
Plays a role in regulating expression or stability of the mitochondrial uncoupling proteins SLC25A14 and SLC25A27 in dopaminergic neurons of the substantia nigra pars compacta and attenuates the oxidative stress induced by calcium entry into the neurons via L-type channels during pacemaking. It cooperates with Ras to increase cell transformation, it positively regulates transcription of the androgen receptor, and it may function as an indicator of oxidative stress. |
Specification |
|
|---|---|
| Aliases | PARK7; Protein DJ-1; Oncogene DJ1; Parkinson disease protein 7 |
| Entrez GeneID | 11315 |
| Swissprot | Q99497 |
| WB Predicted band size | Calculated MW: 20 kDa; Observed MW: 20 kDa |
| Host/Isotype | Rabbit IgG |
| Antibody Type | Primary antibody |
| Storage | Store at 4°C short term. Aliquot and store at -20°C long term. Avoid freeze/thaw cycles. |
| Species Reactivity | Human,Mouse,Rat |
| Immunogen | A synthetic peptide of human PARK7/DJ1 |
| Formulation | Purified antibody in TBS with 0.05% sodium azide,0.05%BSA and 50% glycerol. |
Application |
|
|---|---|
| WB | 1/500-1/1000 |
| IP | 1/10-1/20 |
| IHC | 1/50-1/100 |
| IF/ICC | 1/50-1/200 |
Product Image
- Western blot analysis of PARK7/DJ1 in K562, rat Brain, C6, 3T3, Hela lysates using PARK7/DJ1 antibody.
- Immunocytochemistry analysis of PARK7/DJ1 (green) in Hela using PARK7/DJ1 antibody,and DAPI(blue)
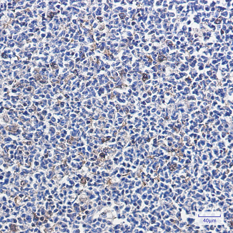
- Immunohistochemistry analysis of paraffin-embedded Human tonsil using PARK7/DJ1 antibody.High-pressure and temperature Sodium Citrate pH 6.0 was used for antigen retrieval.
For Reseach Only
Application Key:WB - Western Blot | IHC - Immunohistochemistry | ICC - Immunocytochemistry | FCM - Flow Cytometry | ELISA - Enzyme-linked Immunosorbent Assay | IP - Immunoprecipitation
#P20927
相关产品

微信/QQ登录


首页
