提醒成功
搜索
Rabbit Monoclonal Antibody to Smad3
-
货号:
P20920 -
别名:
SMAD3; MADH3; Mothers against decapentaplegic homolog 3; MAD homolog 3; Mad3; Mothers against DPP homolog 3; hMAD-3; JV15-2; SMAD family member 3; SMAD 3; Smad3; hSMAD3 -
应用:
WB,IHC,IF -
反应种属:
Human,Rat -
抗体类型:
Primary antibody -
Swissprot:
P84022 -
规格:
-
数量:
-+ -
说明书:
目录价¥2180
Rabbit Monoclonal Antibody to Smad3
Description |
|---|
Smad3 transcription factor phosphorylated and activated by TGF-beta-type receptors. A receptor-regulated Smad (R-smad). Binds directly to consensus DNA-binding elements in the promoters of target genes. In mouse required for establishemnt of the mucosal immune response and proper development of skeleton. |
Specification |
|
|---|---|
| Aliases | SMAD3; MADH3; Mothers against decapentaplegic homolog 3; MAD homolog 3; Mad3; Mothers against DPP homolog 3; hMAD-3; JV15-2; SMAD family member 3; SMAD 3; Smad3; hSMAD3 |
| Entrez GeneID | 4088 |
| Swissprot | P84022 |
| WB Predicted band size | Calculated MW: 48 kDa; Observed MW: 52 kDa |
| Host/Isotype | Rabbit IgG |
| Antibody Type | Primary antibody |
| Storage | Store at 4°C short term. Aliquot and store at -20°C long term. Avoid freeze/thaw cycles. |
| Species Reactivity | Human,Rat |
| Immunogen | A synthetic peptide of human Smad3 |
| Formulation | Purified antibody in TBS with 0.05% sodium azide,0.05%BSA and 50% glycerol. |
Application |
|
|---|---|
| WB | 1/500-1/1000 |
| IHC | 1/50-1/100 |
| IF/ICC | 1/50-1/200 |
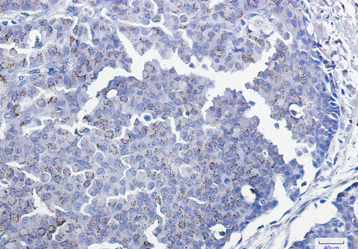
Product Image
- Western blot analysis of Smad3 in Jurkat, C6, Hela lysates using Smad3 antibody.
- Immunocytochemistry analysis of Smad3 (green) in A549 using Smad3 antibody,and DAPI(blue).
- Immunohistochemistry analysis of paraffin-embedded Human breast cancer tissue using Smad3 antibody. High-pressure and temperature Sodium Citrate pH 6.0 was used for antigen retrieval.
For Reseach Only
Application Key:WB - Western Blot | IHC - Immunohistochemistry | ICC - Immunocytochemistry | FCM - Flow Cytometry | ELISA - Enzyme-linked Immunosorbent Assay | IP - Immunoprecipitation
#P20920
相关产品

微信/QQ登录


首页
