提醒成功
搜索
Rabbit Monoclonal Antibody to PBR
-
货号:
P20918 -
别名:
TSPO; BZRP; MBR; Translocator protein; Mitochondrial benzodiazepine receptor; PKBS; Peripheral-type benzodiazepine receptor; PBR -
应用:
WB,IP,IHC,IF -
反应种属:
Human,Mouse -
抗体类型:
Primary antibody -
Swissprot:
B1AH88 -
规格:
-
数量:
-+ -
说明书:
目录价¥2180
Rabbit Monoclonal Antibody to PBR
Description |
|---|
Present mainly in the mitochondrial compartment of peripheral tissues, the protein encoded by this gene interacts with some benzodiazepines and has different affinities than its endogenous counterpart. The protein is a key factor in the flow of cholesterol into mitochondria to permit the initiation of steroid hormone synthesis. |
Specification |
|
|---|---|
| Aliases | TSPO; BZRP; MBR; Translocator protein; Mitochondrial benzodiazepine receptor; PKBS; Peripheral-type benzodiazepine receptor; PBR |
| Entrez GeneID | 706 |
| Swissprot | B1AH88 |
| WB Predicted band size | Calculated MW: 11 kDa; Observed MW: 19 kDa |
| Host/Isotype | Rabbit IgG |
| Antibody Type | Primary antibody |
| Storage | Store at 4°C short term. Aliquot and store at -20°C long term. Avoid freeze/thaw cycles. |
| Species Reactivity | Human,Mouse |
| Immunogen | A synthetic peptide of human PBR |
| Formulation | Purified antibody in TBS with 0.05% sodium azide,0.05%BSA and 50% glycerol. |
Application |
|
|---|---|
| WB | 1/500-1/1000 |
| IP | 1/10-1/20 |
| IHC | 1/50-1/100 |
| IF/ICC | 1/50-1/200 |
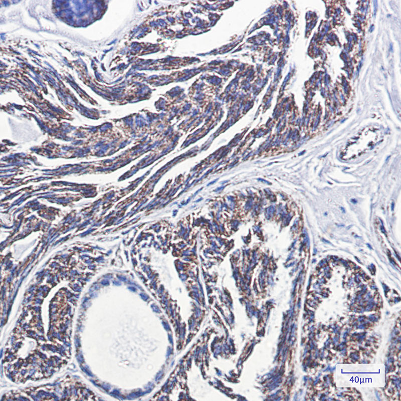
Product Image
- Western blot analysis of PBR/TSPO in 3T3, Hela lysates using PBR antibody.
- Immunocytochemistry analysis of PBR/TSPO (green) in Hela using PBR/TSPO antibody,and DAPI(blue)
- Immunohistochemistry analysis of paraffin-embedded Human breast cancer using PBR antibody.High-pressure and temperature Sodium Citrate pH 6.0 was used for antigen retrieval.
For Reseach Only
Application Key:WB - Western Blot | IHC - Immunohistochemistry | ICC - Immunocytochemistry | FCM - Flow Cytometry | ELISA - Enzyme-linked Immunosorbent Assay | IP - Immunoprecipitation
#P20918
相关产品

微信/QQ登录


首页
