提醒成功

搜索
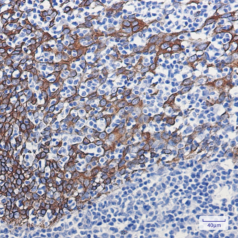
Rabbit Monoclonal Antibody to Cytokeratin 16
-
货号:
P20908 -
别名:
KRT16; KRT16A; Keratin; type I cytoskeletal 16; Cytokeratin-16; CK-16; Keratin-16; K16 -
应用:
WB,IHC -
反应种属:
Human -
抗体类型:
Primary antibody -
Swissprot:
P08779 -
规格:
-
数量:
-+ -
说明书:
目录价¥2180

Rabbit Monoclonal Antibody to Cytokeratin 16
Description |
---|
K16 a type I cytoskeletal keratin. The keratins are intermediate filament proteins responsible for the structural integrity of epithelial cells and are subdivided into cytokeratins and hair keratins. There are two types of cytoskeletal and microfibrillar keratin: type I (acidic; 40-55 kDa) [K9 to K20] and type II (neutral to basic; 56-70 kDa) [K1 to K8]. |
Specification |
|
---|---|
Aliases | KRT16; KRT16A; Keratin; type I cytoskeletal 16; Cytokeratin-16; CK-16; Keratin-16; K16 |
Entrez GeneID | 3868 |
Swissprot | P08779 |
WB Predicted band size | Calculated MW: 51 kDa; Observed MW: 51 kDa |
Host/Isotype | Rabbit IgG |
Antibody Type | Primary antibody |
Storage | Store at 4°C short term. Aliquot and store at -20°C long term. Avoid freeze/thaw cycles. |
Species Reactivity | Human |
Immunogen | Recombinant protein of human Cytokeratin 16 |
Formulation | Purified antibody in TBS with 0.05% sodium azide,0.05%BSA and 50% glycerol. |
Application |
|
---|---|
WB | 1/500-1/1000 |
IHC | 1/50-1/100 |
Product Image
For Reseach Only
Application Key:WB - Western Blot | IHC - Immunohistochemistry | ICC - Immunocytochemistry | FCM - Flow Cytometry | ELISA - Enzyme-linked Immunosorbent Assay | IP - Immunoprecipitation
#P20908

相关产品


