提醒成功

搜索
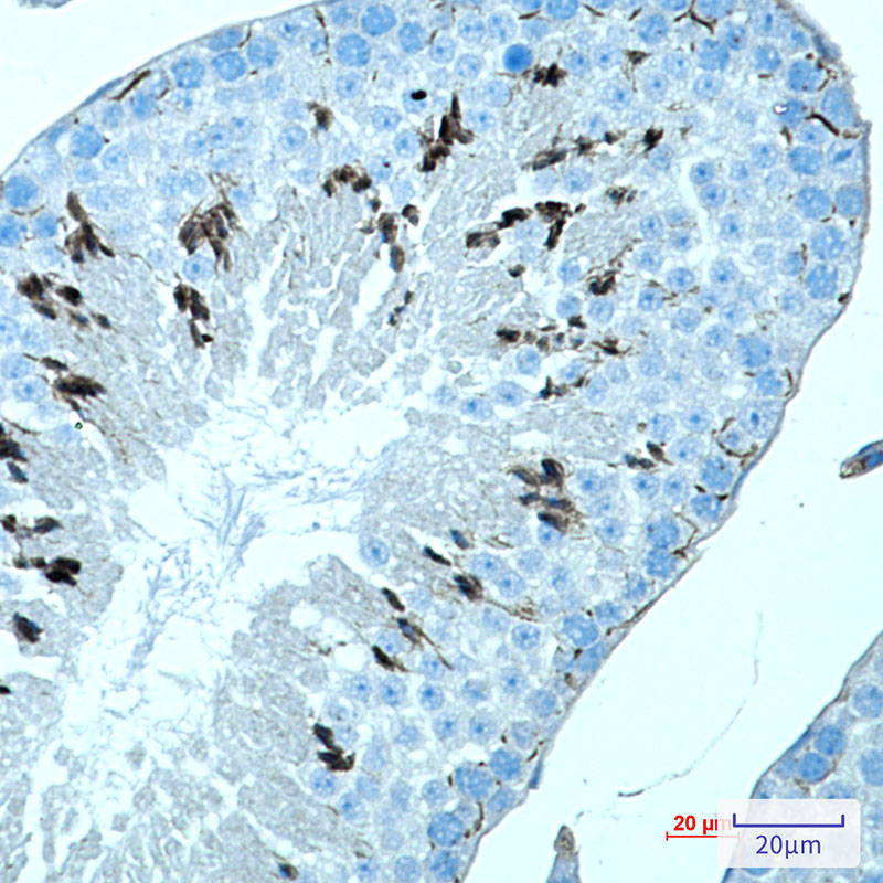
Rabbit Monoclonal Antibody to MAGEC2
-
货号:
P20907 -
别名:
CT10 -
应用:
WB,IP,IHC -
反应种属:
Human,Mouse -
抗体类型:
Primary antibody -
Swissprot:
Q9UBF1 -
规格:
-
数量:
-+ -
说明书:
目录价¥2180

Rabbit Monoclonal Antibody to MAGEC2
Description |
---|
Proposed to enhance ubiquitin ligase activity of RING-type zinc finger-containing E3 ubiquitin-protein ligases. |
Specification |
|
---|---|
Aliases | CT10 |
Entrez GeneID | 51438 |
Swissprot | Q9UBF1 |
WB Predicted band size | Calculated MW: 41 kDa; Observed MW: 55 kDa |
Host/Isotype | Rabbit IgG |
Antibody Type | Primary antibody |
Storage | Store at 4°C short term. Aliquot and store at -20°C long term. Avoid freeze/thaw cycles. |
Species Reactivity | Human,Mouse |
Immunogen | Recombinant protein of human MAGEE1 |
Formulation | Purified antibody in TBS with 0.05% sodium azide,0.05%BSA and 50% glycerol. |
Application |
|
---|---|
WB | 1/500-1/1000 |
IP | 1/10-1/20 |
IHC | 1/50-1/100 |
Product Image
For Reseach Only
Application Key:WB - Western Blot | IHC - Immunohistochemistry | ICC - Immunocytochemistry | FCM - Flow Cytometry | ELISA - Enzyme-linked Immunosorbent Assay | IP - Immunoprecipitation
#P20907

相关产品


