提醒成功

搜索
Rabbit Monoclonal Antibody to MSH6
-
货号:
P20901 -
别名:
MSH6; GTBP; DNA mismatch repair protein Msh6; hMSH6; G/T mismatch-binding protein; GTBP; GTMBP; MutS-alpha 160 kDa subunit; p160 -
应用:
WB,IHC,IF -
反应种属:
Human,Mouse,Rat -
抗体类型:
Primary antibody -
Swissprot:
P52701 -
规格:
-
数量:
-+ -
说明书:
目录价¥2180

Rabbit Monoclonal Antibody to MSH6
Description |
---|
The DNA mismatch repair system (MMR) repairs post-replication DNA, inhibits recombination between nonidentical DNA sequences, and induces both checkpoint and apoptotic responses following certain types of DNA damage. MSH2 (MutS homologue 2) forms the hMutS-α dimer with MSH6 and is an essential component of the mismatch repair process. |
Specification |
|
---|---|
Aliases | MSH6; GTBP; DNA mismatch repair protein Msh6; hMSH6; G/T mismatch-binding protein; GTBP; GTMBP; MutS-alpha 160 kDa subunit; p160 |
Entrez GeneID | 2956 |
Swissprot | P52701 |
WB Predicted band size | Calculated MW: 153 kDa; Observed MW: 163 kDa |
Host/Isotype | Rabbit IgG |
Antibody Type | Primary antibody |
Storage | Store at 4°C short term. Aliquot and store at -20°C long term. Avoid freeze/thaw cycles. |
Species Reactivity | Human,Mouse,Rat |
Immunogen | A synthetic peptide of human MSH6 |
Formulation | Purified antibody in TBS with 0.05% sodium azide,0.05%BSA and 50% glycerol. |
Application |
|
---|---|
WB | 1/500-1/1000 |
IHC | 1/50-1/100 |
IF/ICC | 1/50-1/200 |
Product Image
- Western blot analysis of MSH6 in K562, C6, 3T3, Hela lysates using MSH6 antibody.
- Immunocytochemistry analysis of MSH6(green) in Hela using MSH6 antibody,and DAPI(blue)
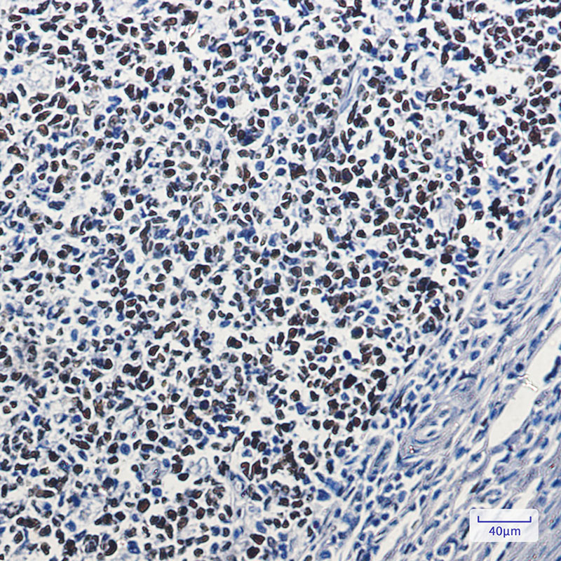
- Immunohistochemistry analysis of paraffin-embedded Human tonsil using MSH6 antibody. High-pressure and temperature Sodium Citrate pH 6.0 was used for antigen retrieval.
For Reseach Only
Application Key:WB - Western Blot | IHC - Immunohistochemistry | ICC - Immunocytochemistry | FCM - Flow Cytometry | ELISA - Enzyme-linked Immunosorbent Assay | IP - Immunoprecipitation
#P20901

相关产品


