提醒成功

搜索
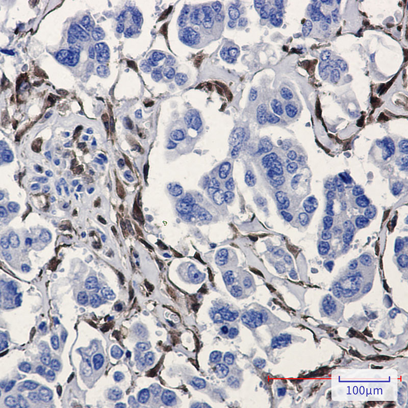
Rabbit Monoclonal Antibody to ALDH1A1
-
货号:
P20898 -
别名:
ALDH1A1; ALDC; ALDH1; PUMB1; Retinal dehydrogenase 1; RALDH 1; RalDH1; ALDH-E1; ALHDII; Aldehyde dehydrogenase family 1 member A1; Aldehyde dehydrogenase; cytosolic -
应用:
WB,IP,IHC -
反应种属:
Human,Mouse -
抗体类型:
Primary antibody -
Swissprot:
P00352 -
规格:
-
数量:
-+ -
说明书:
目录价¥2180

Rabbit Monoclonal Antibody to ALDH1A1
Description |
---|
ALDH1A1 is a liver cytosolic isoform of acetaldehyde dehydrogenase and is involved in the major pathway of alcohol metabolism along with alcohol dehydrogenase . ALDH1A1 is also known as retinal dehydrogenase 1 and is involved in retinol metabolism, converting retinol to retinoic acid. |
Specification |
|
---|---|
Aliases | ALDH1A1; ALDC; ALDH1; PUMB1; Retinal dehydrogenase 1; RALDH 1; RalDH1; ALDH-E1; ALHDII; Aldehyde dehydrogenase family 1 member A1; Aldehyde dehydrogenase; cytosolic |
Entrez GeneID | 216 |
Swissprot | P00352 |
WB Predicted band size | Calculated MW: 55 kDa; Observed MW: 55 kDa |
Host/Isotype | Rabbit IgG |
Antibody Type | Primary antibody |
Storage | Store at 4°C short term. Aliquot and store at -20°C long term. Avoid freeze/thaw cycles. |
Species Reactivity | Human,Mouse |
Immunogen | A synthetic peptide of human ALDH1A1 |
Formulation | Purified antibody in TBS with 0.05% sodium azide,0.05%BSA and 50% glycerol. |
Application |
|
---|---|
WB | 1/500-1/1000 |
IP | 1/10-1/20 |
IHC | 1/50-1/100 |
Product Image
For Reseach Only
Application Key:WB - Western Blot | IHC - Immunohistochemistry | ICC - Immunocytochemistry | FCM - Flow Cytometry | ELISA - Enzyme-linked Immunosorbent Assay | IP - Immunoprecipitation
#P20898

相关产品


