提醒成功
搜索
Rabbit Monoclonal Antibody to TREX1
-
货号:
P20889 -
别名:
AGS1; AGS5; CRV; DNase III; DRN3; HERNS; TREX1 -
应用:
WB,IHC,IF -
反应种属:
Human -
抗体类型:
Primary antibody -
Swissprot:
Q9NSU2 -
规格:
-
数量:
-+ -
说明书:
目录价¥2180
Rabbit Monoclonal Antibody to TREX1
Description |
|---|
TREX1 is the major 3'->5' DNA exonuclease in human cells. The protein is a non processive exonuclease that may serve a proofreading function for a human DNA polymerase. |
Specification |
|
|---|---|
| Aliases | AGS1; AGS5; CRV; DNase III; DRN3; HERNS; TREX1 |
| Entrez GeneID | 11277 |
| Swissprot | Q9NSU2 |
| WB Predicted band size | Calculated MW: 33 kDa; Observed MW: 33 kDa |
| Host/Isotype | Rabbit IgG |
| Antibody Type | Primary antibody |
| Storage | Store at 4°C short term. Aliquot and store at -20°C long term. Avoid freeze/thaw cycles. |
| Species Reactivity | Human |
| Immunogen | Recombinant protein of human TREX1 |
| Formulation | Purified antibody in TBS with 0.05% sodium azide,0.05%BSA and 50% glycerol. |
Application |
|
|---|---|
| WB | 1/500-1/1000 |
| IHC | 1/50-1/100 |
| IF/ICC | 1/50-1/200 |
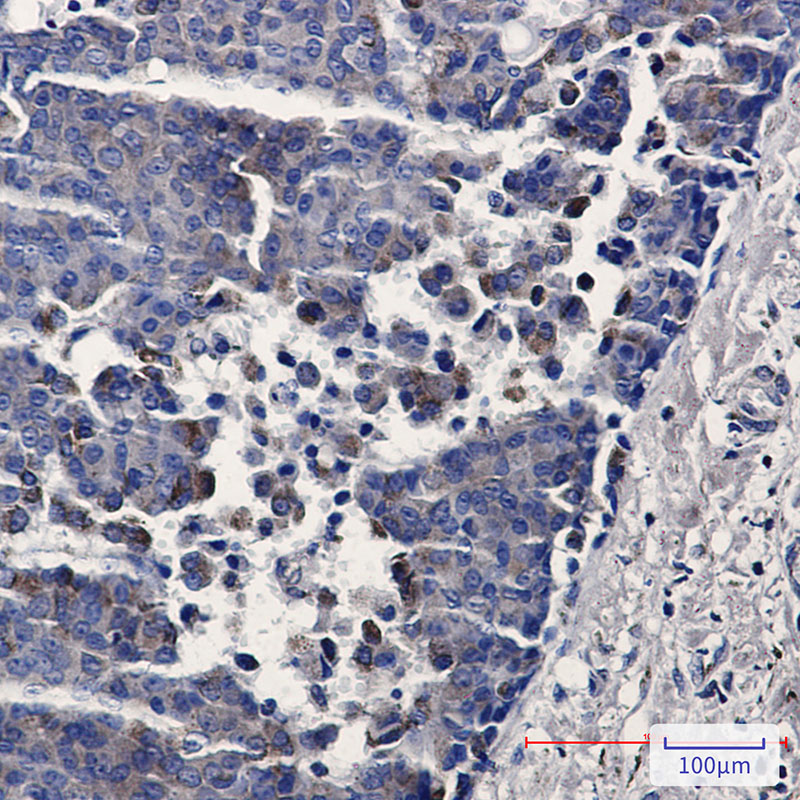
Product Image
- Western blot analysis of TREX1 in Hela lysates using TREX1 antibody.
- Immunocytochemistry analysis of TREX1 (green) in Hela using TREX1 antibody,and DAPI(blue).
- Immunohistochemistry analysis of paraffin-embedded Human breast cancer tissue using TREX1 antibody. High-pressure and temperature Sodium Citrate pH 6.0 was used for antigen retrieval.
For Reseach Only
Application Key:WB - Western Blot | IHC - Immunohistochemistry | ICC - Immunocytochemistry | FCM - Flow Cytometry | ELISA - Enzyme-linked Immunosorbent Assay | IP - Immunoprecipitation
#P20889
相关产品

微信/QQ登录


首页
