提醒成功
搜索
Rabbit Monoclonal Antibody to Rab5C
-
货号:
P20886 -
别名:
Ras-related protein Rab-5C; RABL; L1880; RAB5L; RAB5CL -
应用:
WB,IHC,IF -
反应种属:
Human,Mouse,Rat -
抗体类型:
Primary antibody -
Swissprot:
P51148 -
规格:
-
数量:
-+ -
说明书:
目录价¥2180
Rabbit Monoclonal Antibody to Rab5C
Description |
|---|
Protein transport. |
Specification |
|
|---|---|
| Aliases | Ras-related protein Rab-5C; RABL; L1880; RAB5L; RAB5CL |
| Entrez GeneID | 5878 |
| Swissprot | P51148 |
| WB Predicted band size | Calculated MW: 23 kDa; Observed MW: 23 kDa |
| Host/Isotype | Rabbit IgG |
| Antibody Type | Primary antibody |
| Storage | Store at 4°C short term. Aliquot and store at -20°C long term. Avoid freeze/thaw cycles. |
| Species Reactivity | Human,Mouse,Rat |
| Immunogen | Recombinant protein of human RAB5C |
| Formulation | Purified antibody in TBS with 0.05% sodium azide,0.05%BSA and 50% glycerol. |
Application |
|
|---|---|
| WB | 1/500-1/1000 |
| IHC | 1/50-1/100 |
| IF/ICC | 1/50-1/200 |
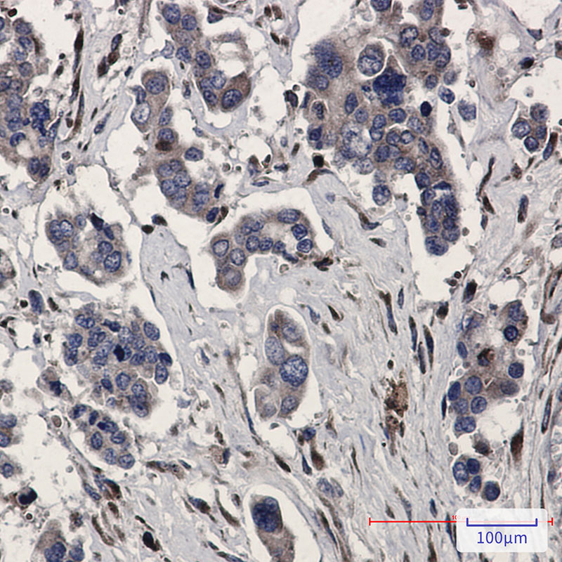
Product Image
- Western blot analysis of RAB5C in K562, C6, 3T3, Hela lysates using RAB5C antibody.
- Immunocytochemistry analysis of Rab5C (green) in A549 using Rab5C antibody,and DAPI(blue).
- Immunohistochemistry analysis of paraffin-embedded Human Cholangiocarcinoma using RAB5C antibody. High-pressure and temperature Sodium Citrate pH 6.0 was used for antigen retrieval.
For Reseach Only
Application Key:WB - Western Blot | IHC - Immunohistochemistry | ICC - Immunocytochemistry | FCM - Flow Cytometry | ELISA - Enzyme-linked Immunosorbent Assay | IP - Immunoprecipitation
#P20886
相关产品

微信/QQ登录


首页
