提醒成功

搜索
Rabbit Monoclonal Antibody to CD13
-
货号:
P20878 -
别名:
ANPEP; APN; CD13; PEPN; Aminopeptidase N; AP-N; hAPN; Alanyl aminopeptidase; Aminopeptidase M; AP-M; Microsomal aminopeptidase; Myeloid plasma membrane glycoprotein CD13; gp150; CD antigen CD13 -
应用:
WB,IP,IHC,IF -
反应种属:
Human,Rat -
抗体类型:
Primary antibody -
Swissprot:
P15144 -
规格:
-
数量:
-+ -
说明书:
目录价¥2180

Rabbit Monoclonal Antibody to CD13
Description |
---|
Aminopeptidase N (APN, CD13) is a widely expressed, membrane-bound proteolytic enzyme that breaks down peptides during digestion, cleaves cell surface antigens during antigen presentation, and acts as a receptor for human viruses, including several coronaviruses.Plays a role in the final digestion of peptides generated from hydrolysis of proteins by gastric and pancreatic proteases. |
Specification |
|
---|---|
Aliases | ANPEP; APN; CD13; PEPN; Aminopeptidase N; AP-N; hAPN; Alanyl aminopeptidase; Aminopeptidase M; AP-M; Microsomal aminopeptidase; Myeloid plasma membrane glycoprotein CD13; gp150; CD antigen CD13 |
Entrez GeneID | 290 |
Swissprot | P15144 |
WB Predicted band size | Calculated MW: 110 kDa; Observed MW: 160 kDa |
Host/Isotype | Rabbit IgG |
Antibody Type | Primary antibody |
Storage | Store at 4°C short term. Aliquot and store at -20°C long term. Avoid freeze/thaw cycles. |
Species Reactivity | Human,Rat |
Immunogen | A synthetic peptide of human CD13 |
Formulation | Purified antibody in TBS with 0.05% sodium azide,0.05%BSA and 50% glycerol. |
Application |
|
---|---|
WB | 1/500-1/1000 |
IP | 1/10-1/20 |
IHC | 1/50-1/100 |
IF/ICC | 1/50-1/200 |
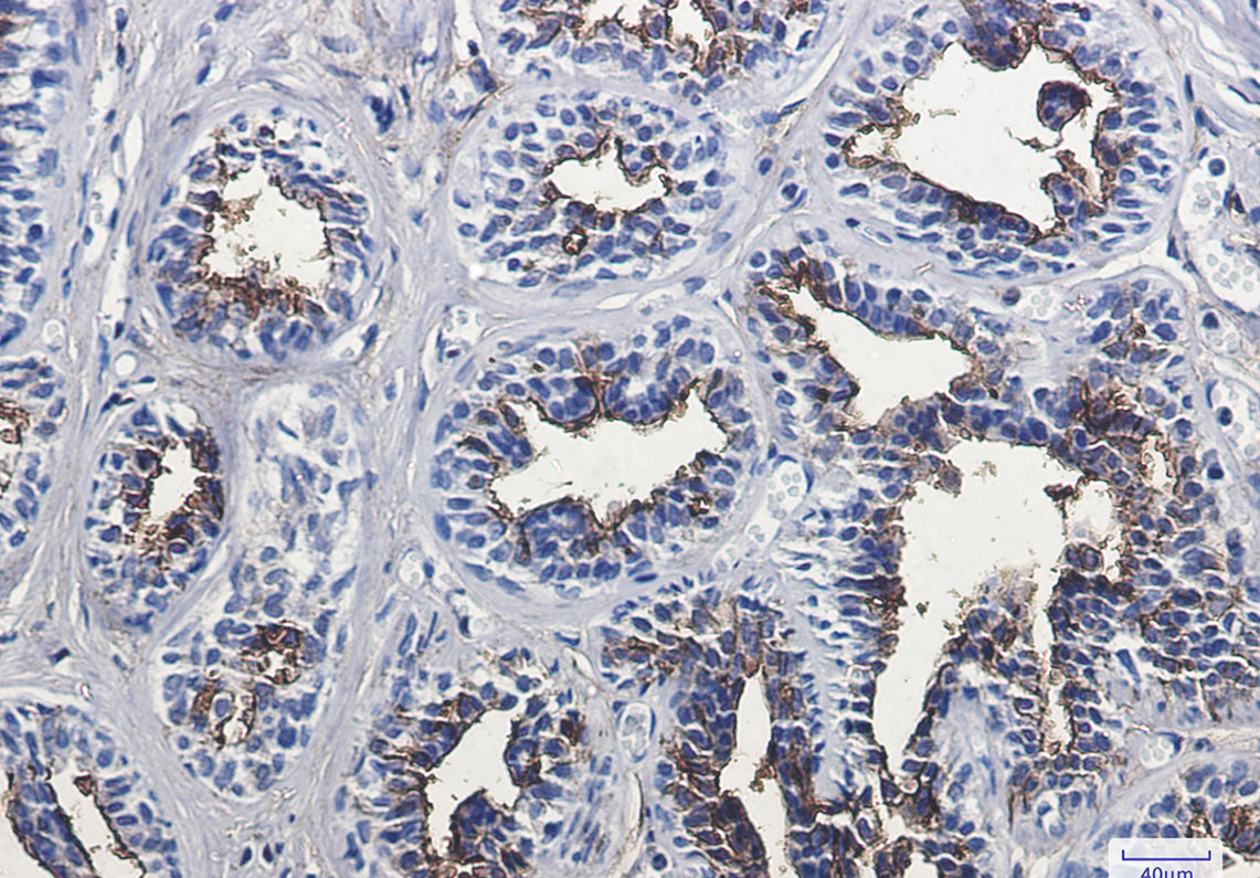
Product Image
- Western blot analysis of CD13 in rat Brain lysates using CD13 antibody.
- Immunocytochemistry analysis of CD13(green) in Hela using CD13 antibody,and DAPI(blue)
- Immunohistochemistry analysis of paraffin-embedded Human breast cancer using CD13 antibody. High-pressure and temperature Sodium Citrate pH 6.0 was used for antigen retrieval.
For Reseach Only
Application Key:WB - Western Blot | IHC - Immunohistochemistry | ICC - Immunocytochemistry | FCM - Flow Cytometry | ELISA - Enzyme-linked Immunosorbent Assay | IP - Immunoprecipitation
#P20878

相关产品


