提醒成功

搜索
Rabbit Monoclonal Antibody to Lipoamide Dehydrogenase
-
货号:
P20873 -
别名:
Diaphorase; Dihydrolipoamide dehydrogenase; DLDD; DLDH; GCSL; LAD; lipoamide dehydrogenase; Lipoamide reductase; Lipoyl dehydrogenase; PHE3 -
应用:
WB,IHC,IF -
反应种属:
Human,Mouse,Rat -
抗体类型:
Primary antibody -
Swissprot:
P09622 -
规格:
-
数量:
-+ -
说明书:
目录价¥2180

Rabbit Monoclonal Antibody to Lipoamide Dehydrogenase
Description |
---|
Lipoamide dehydrogenase is a component of the glycine cleavage system as well as of the alpha-ketoacid dehydrogenase complexes. Involved in the hyperactivation of spermatazoa during capacitation and in the spermatazoal acrosome reaction. |
Specification |
|
---|---|
Aliases | Diaphorase; Dihydrolipoamide dehydrogenase; DLDD; DLDH; GCSL; LAD; lipoamide dehydrogenase; Lipoamide reductase; Lipoyl dehydrogenase; PHE3 |
Entrez GeneID | 1738 |
Swissprot | P09622 |
WB Predicted band size | Calculated MW: 54 kDa; Observed MW: 54 kDa |
Host/Isotype | Rabbit IgG |
Antibody Type | Primary antibody |
Storage | Store at 4°C short term. Aliquot and store at -20°C long term. Avoid freeze/thaw cycles. |
Species Reactivity | Human,Mouse,Rat |
Immunogen | A synthetic peptide of human Lipoamide Dehydrogenase |
Formulation | Purified antibody in TBS with 0.05% sodium azide,0.05%BSA and 50% glycerol. |
Application |
|
---|---|
WB | 1/500-1/1000 |
IHC | 1/50-1/100 |
IF/ICC | 1/50-1/200 |
Product Image
- Western blot analysis of Lipoamide Dehydrogenase in K562, rat Brain, C6, 3T3, Hela lysates using Lipoamide Dehydrogenase antibody.
- Immunocytochemistry analysis of Lipoamide Dehydrogenase (green) in Hela using Lipoamide Dehydrogenase antibody,and DAPI(blue).
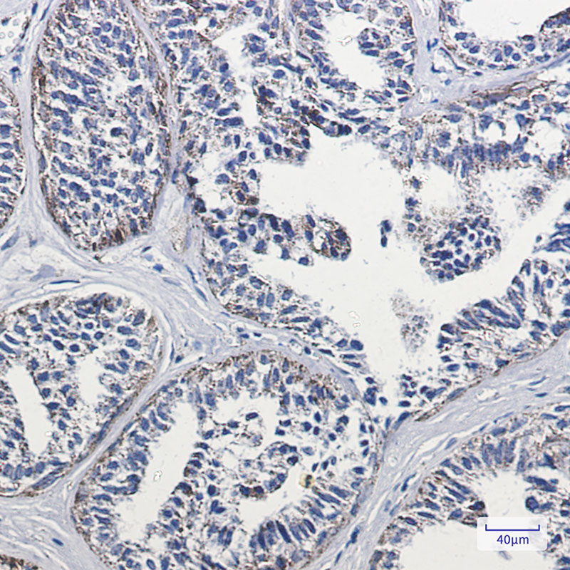
- Immunohistochemistry analysis of paraffin-embedded Human breast cancer tissue using Lipoamide Dehydrogenase antibody. High-pressure and temperature Sodium Citrate pH 6.0 was used for antigen retrieval.
For Reseach Only
Application Key:WB - Western Blot | IHC - Immunohistochemistry | ICC - Immunocytochemistry | FCM - Flow Cytometry | ELISA - Enzyme-linked Immunosorbent Assay | IP - Immunoprecipitation
#P20873

相关产品


