提醒成功

搜索
Rabbit Monoclonal Antibody to P2Y6
-
货号:
P20872 -
别名:
P2ry6; P2Y6; P2Y6 receptor; PP2891 -
应用:
WB,IP,IHC,IF -
反应种属:
Human -
抗体类型:
Primary antibody -
Swissprot:
Q15077 -
规格:
-
数量:
-+ -
说明书:
目录价¥2180

Rabbit Monoclonal Antibody to P2Y6
Description |
---|
Receptor for extracellular UDP > UTP > ATP. The activity of this receptor is mediated by G proteins which activate a phosphatidylinositol-calcium second messenger system. |
Specification |
|
---|---|
Aliases | P2ry6; P2Y6; P2Y6 receptor; PP2891 |
Entrez GeneID | 5031 |
Swissprot | Q15077 |
WB Predicted band size | Calculated MW: 36 kDa; Observed MW: 36 kDa |
Host/Isotype | Rabbit IgG |
Antibody Type | Primary antibody |
Storage | Store at 4°C short term. Aliquot and store at -20°C long term. Avoid freeze/thaw cycles. |
Species Reactivity | Human |
Immunogen | A synthetic peptide of human P2Y6 |
Formulation | Purified antibody in TBS with 0.05% sodium azide,0.05%BSA and 50% glycerol. |
Application |
|
---|---|
WB | 1/500-1/1000 |
IP | 1/10-1/20 |
IHC | 1/50-1/100 |
IF/ICC | 1/50-1/200 |
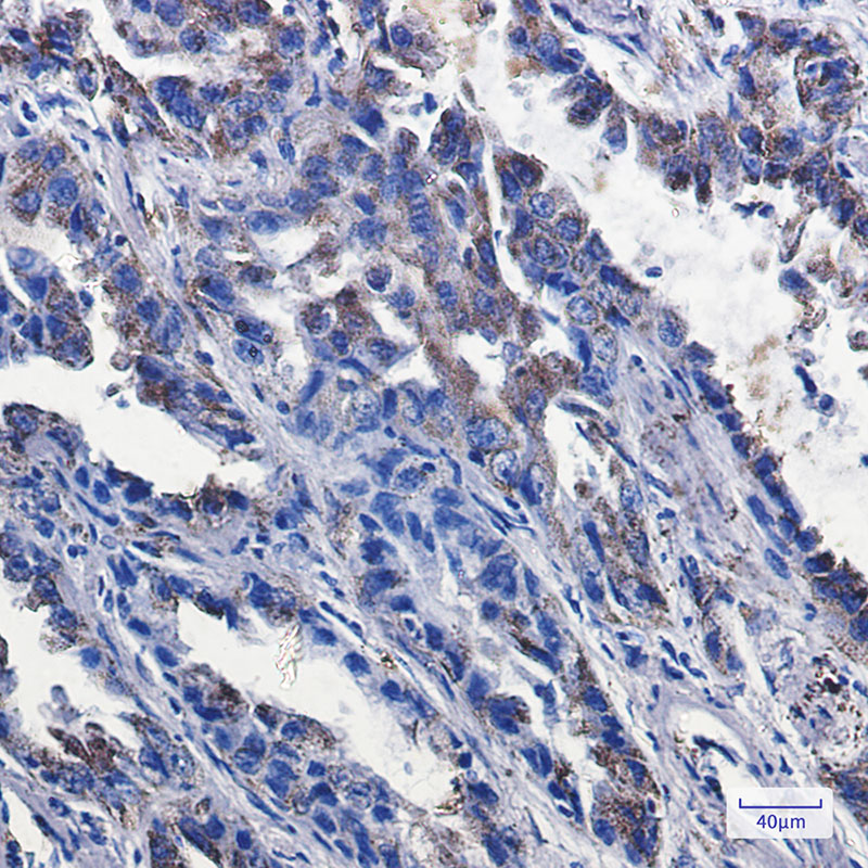
Product Image
- Western blot analysis of P2Y6 in K562, Hela lysates using P2Y6 antibody.
- Immunocytochemistry analysis of P2Y6 (green) in A549 using P2Y6 antibody,and DAPI(blue).
- Immunohistochemistry analysis of paraffin-embedded Human lung cancer tissue using P2Y6 antibody. High-pressure and temperature Sodium Citrate pH 6.0 was used for antigen retrieval.
For Reseach Only
Application Key:WB - Western Blot | IHC - Immunohistochemistry | ICC - Immunocytochemistry | FCM - Flow Cytometry | ELISA - Enzyme-linked Immunosorbent Assay | IP - Immunoprecipitation
#P20872

相关产品


