提醒成功

搜索
Rabbit Monoclonal Antibody to COPS8
-
货号:
P20867 -
别名:
COP9 signalosome subunit 8; COP9; CSN8; SGN8 -
应用:
WB,IP,IHC,IF -
反应种属:
Human,Mouse,Rat -
抗体类型:
Primary antibody -
Swissprot:
Q99627 -
规格:
-
数量:
-+ -
说明书:
目录价¥2180

Rabbit Monoclonal Antibody to COPS8
Description |
---|
Component of the COP9 signalosome complex (CSN), a complex involved in various cellular and developmental processes. |
Specification |
|
---|---|
Aliases | COP9 signalosome subunit 8; COP9; CSN8; SGN8 |
Entrez GeneID | 10920 |
Swissprot | Q99627 |
WB Predicted band size | Calculated MW: 23 kDa; Observed MW: 23 kDa |
Host/Isotype | Rabbit IgG |
Antibody Type | Primary antibody |
Storage | Store at 4°C short term. Aliquot and store at -20°C long term. Avoid freeze/thaw cycles. |
Species Reactivity | Human,Mouse,Rat |
Immunogen | A synthetic peptide of human COPS8 |
Formulation | Purified antibody in TBS with 0.05% sodium azide,0.05%BSA and 50% glycerol. |
Application |
|
---|---|
WB | 1/500-1/1000 |
IP | 1/10-1/20 |
IHC | 1/50-1/100 |
IF/ICC | 1/50-1/200 |
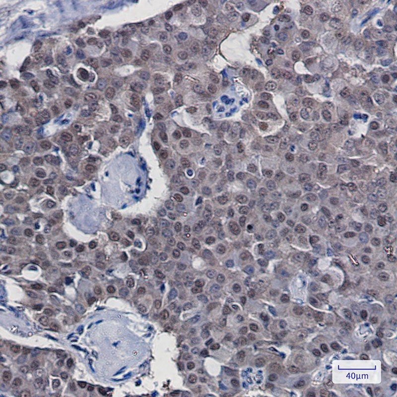
Product Image
- Western blot analysis of COPS8 in Hela, 3T3, C6, rat Brain, K562 lysates using COPS8 antibody.
- Immunocytochemistry analysis of COPS8 (green) in Hela using COPS8 antibody,and DAPI(blue).
- Immunohistochemistry analysis of paraffin-embedded Human breast cancer tissue using COPS8 antibody. High-pressure and temperature Sodium Citrate pH 6.0 was used for antigen retrieval.
For Reseach Only
Application Key:WB - Western Blot | IHC - Immunohistochemistry | ICC - Immunocytochemistry | FCM - Flow Cytometry | ELISA - Enzyme-linked Immunosorbent Assay | IP - Immunoprecipitation
#P20867

相关产品


