提醒成功

搜索
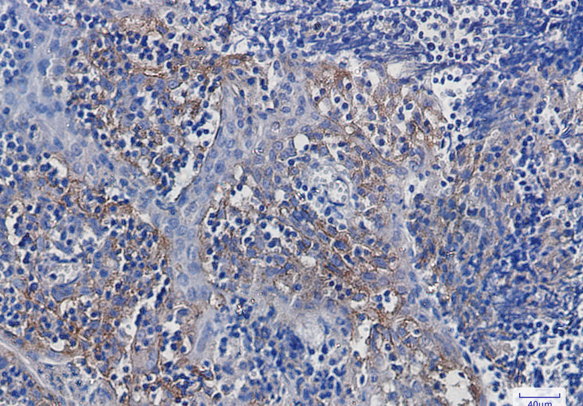
Rabbit Monoclonal Antibody to Integrin alpha V
-
货号:
P20864 -
别名:
ITGAV; MSK8; VNRA; Integrin alpha-V; Vitronectin receptor subunit alpha; CD antigen CD51 -
应用:
WB,IHC -
反应种属:
Human,Mouse,Rat -
抗体类型:
Primary antibody -
Swissprot:
P06756 -
规格:
-
数量:
-+ -
说明书:
目录价¥2180

Rabbit Monoclonal Antibody to Integrin alpha V
Description |
---|
The alpha-V (ITGAV) integrins are receptors for vitronectin, cytotactin, fibronectin, fibrinogen, laminin, matrix metalloproteinase-2, osteopontin, osteomodulin, prothrombin, thrombospondin and vWF. They recognize the sequence R-G-D in a wide array of ligands. In case of HIV-1 infection, the interaction with extracellular viral Tat protein seems to enhance angiogenesis in Kaposi's sarcoma lesions. |
Specification |
|
---|---|
Aliases | ITGAV; MSK8; VNRA; Integrin alpha-V; Vitronectin receptor subunit alpha; CD antigen CD51 |
Entrez GeneID | 3685 |
Swissprot | P06756 |
WB Predicted band size | Calculated MW: 116 kDa; Observed MW: 135 kDa |
Host/Isotype | Rabbit IgG |
Antibody Type | Primary antibody |
Storage | Store at 4°C short term. Aliquot and store at -20°C long term. Avoid freeze/thaw cycles. |
Species Reactivity | Human,Mouse,Rat |
Immunogen | Recombinant protein of human Integrin alpha V |
Formulation | Purified antibody in TBS with 0.05% sodium azide,0.05%BSA and 50% glycerol. |
Application |
|
---|---|
WB | 1/500-1/1000 |
IHC | 1/50-1/100 |
Product Image
For Reseach Only
Application Key:WB - Western Blot | IHC - Immunohistochemistry | ICC - Immunocytochemistry | FCM - Flow Cytometry | ELISA - Enzyme-linked Immunosorbent Assay | IP - Immunoprecipitation
#P20864

相关产品


