提醒成功

搜索
Rabbit Monoclonal Antibody to TRMT2A
-
货号:
P20861 -
别名:
HpaII tiny fragments locus 9c protein -
应用:
WB,IHC,IF -
反应种属:
Human -
抗体类型:
Primary antibody -
Swissprot:
Q8IZ69 -
规格:
-
数量:
-+ -
说明书:
目录价¥2180

Rabbit Monoclonal Antibody to TRMT2A
Description |
---|
S-adenosyl-L-methionine-dependent methyltransferase that catalyzes the formation of 5-methyl-uridine in tRNAs and some mRNAs. |
Specification |
|
---|---|
Aliases | HpaII tiny fragments locus 9c protein |
Entrez GeneID | 27037 |
Swissprot | Q8IZ69 |
WB Predicted band size | Calculated MW: 69 kDa; Observed MW: 69 kDa |
Host/Isotype | Rabbit IgG |
Antibody Type | Primary antibody |
Storage | Store at 4°C short term. Aliquot and store at -20°C long term. Avoid freeze/thaw cycles. |
Species Reactivity | Human |
Immunogen | A synthetic peptide of human HTF9C |
Formulation | Purified antibody in TBS with 0.05% sodium azide,0.05%BSA and 50% glycerol. |
Application |
|
---|---|
WB | 1/500-1/1000 |
IHC | 1/50-1/100 |
IF/ICC | 1/50-1/200 |
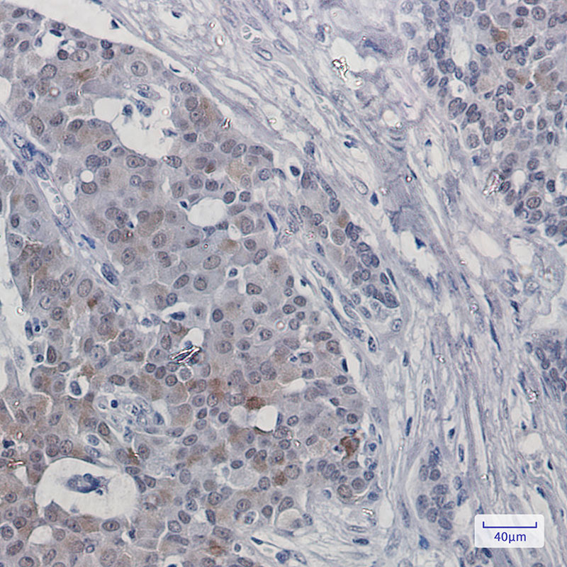
Product Image
- Western blot analysis of HTF9C/TRMT2A in K562, Hela lysates using TRMT2A antibody.
- Immunocytochemistry analysis of HTF9C/TRMT2A(green) in Hela using HTF9C/TRMT2A antibody,and DAPI(blue)
- Immunohistochemistry analysis of paraffin-embedded Human breast cancer using HTF9C antibody. High-pressure and temperature Sodium Citrate pH 6.0 was used for antigen retrieval.
For Reseach Only
Application Key:WB - Western Blot | IHC - Immunohistochemistry | ICC - Immunocytochemistry | FCM - Flow Cytometry | ELISA - Enzyme-linked Immunosorbent Assay | IP - Immunoprecipitation
#P20861

相关产品


