提醒成功

搜索
Rabbit Monoclonal Antibody to Annexin VI
-
货号:
P20860 -
别名:
p68; p70; ANX6; CBP68; CPB-II -
应用:
WB,IP,IHC,IF -
反应种属:
Human,Rat -
抗体类型:
Primary antibody -
Swissprot:
P08133 -
规格:
-
数量:
-+ -
说明书:
目录价¥2180

Rabbit Monoclonal Antibody to Annexin VI
Description |
---|
May associate with CD21. May regulate the release of Ca2+ from intracellular stores.MiscellaneousSeems to bind one calcium ion with high affinity. |
Specification |
|
---|---|
Aliases | p68; p70; ANX6; CBP68; CPB-II |
Entrez GeneID | 309 |
Swissprot | P08133 |
WB Predicted band size | Calculated MW: 76 kDa; Observed MW: 70 kDa |
Host/Isotype | Rabbit IgG |
Antibody Type | Primary antibody |
Storage | Store at 4°C short term. Aliquot and store at -20°C long term. Avoid freeze/thaw cycles. |
Species Reactivity | Human,Rat |
Immunogen | A synthetic peptide of human Annexin VI |
Formulation | Purified antibody in TBS with 0.05% sodium azide,0.05%BSA and 50% glycerol. |
Application |
|
---|---|
WB | 1/500-1/1000 |
IP | 1/10-1/20 |
IHC | 1/50-1/100 |
IF/ICC | 1/50-1/200 |
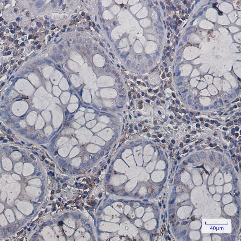
Product Image
- Western blot analysis of Annexin VI in C6 lysates using Annexin VI antibody.
- Immunocytochemistry analysis of Annexin VI(green) in Hela using Annexin VI antibody,and DAPI(blue)
- Immunohistochemistry analysis of paraffin-embedded Human colon cancer using Annexin VI antibody. High-pressure and temperature Sodium Citrate pH 6.0 was used for antigen retrieval.
For Reseach Only
Application Key:WB - Western Blot | IHC - Immunohistochemistry | ICC - Immunocytochemistry | FCM - Flow Cytometry | ELISA - Enzyme-linked Immunosorbent Assay | IP - Immunoprecipitation
#P20860

相关产品


