提醒成功

搜索
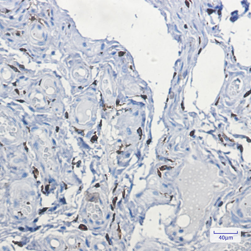
Rabbit Monoclonal Antibody to Factor XIIIa
-
货号:
P20847 -
别名:
Coagulation factor XIIIa; F13A; F13a1; Fibrin stabilizing factor; A subunit; Fibrinoligase; TGase; Transglutaminase A chain -
应用:
WB,IHC -
反应种属:
Human -
抗体类型:
Primary antibody -
Swissprot:
P00488 -
规格:
-
数量:
-+ -
说明书:
目录价¥2180

Rabbit Monoclonal Antibody to Factor XIIIa
Description |
---|
Factor XIII is activated by thrombin and calcium ion to a transglutaminase that catalyzes the formation of gamma-glutamyl-epsilon-lysine cross-links between fibrin chains, thus stabilizing the fibrin clot. Also cross-link alpha-2-plasmin inhibitor, or fibronectin, to the alpha chains of fibrin. |
Specification |
|
---|---|
Aliases | Coagulation factor XIIIa; F13A; F13a1; Fibrin stabilizing factor; A subunit; Fibrinoligase; TGase; Transglutaminase A chain |
Entrez GeneID | 2162 |
Swissprot | P00488 |
WB Predicted band size | Calculated MW: 83 kDa; Observed MW: 83 kDa |
Host/Isotype | Rabbit IgG |
Antibody Type | Primary antibody |
Storage | Store at 4°C short term. Aliquot and store at -20°C long term. Avoid freeze/thaw cycles. |
Species Reactivity | Human |
Immunogen | Recombinant protein of human Factor XIIIa |
Formulation | Purified antibody in TBS with 0.05% sodium azide,0.05%BSA and 50% glycerol. |
Application |
|
---|---|
WB | 1/500-1/1000 |
IHC | 1/50-1/100 |
Product Image
For Reseach Only
Application Key:WB - Western Blot | IHC - Immunohistochemistry | ICC - Immunocytochemistry | FCM - Flow Cytometry | ELISA - Enzyme-linked Immunosorbent Assay | IP - Immunoprecipitation
#P20847

相关产品


