提醒成功

搜索
Rabbit Monoclonal Antibody to IDH1
-
货号:
P20837 -
别名:
IDH1; PICD; Isocitrate dehydrogenase [NADP] cytoplasmic; IDH; Cytosolic NADP-isocitrate dehydrogenase; IDP; NADP(+)-specific ICDH; Oxalosuccinate decarboxylase -
应用:
WB,IP,IHC -
反应种属:
Human,Mouse,Rat -
抗体类型:
Primary antibody -
Swissprot:
O75874 -
规格:
-
数量:
-+ -
说明书:
目录价¥2180

Rabbit Monoclonal Antibody to IDH1
Description |
---|
Genetic variations are associated with cartilaginous tumors such as enchondroma or chondrosarcoma. Mutations of Arg-132 to Cys, Gly or His abolish the conversion of isocitrate to alpha-ketoglutarate. Instead, alpha-ketoglutarate is converted to R(-)-2-hydroxyglutarate. |
Specification |
|
---|---|
Aliases | IDH1; PICD; Isocitrate dehydrogenase [NADP] cytoplasmic; IDH; Cytosolic NADP-isocitrate dehydrogenase; IDP; NADP(+)-specific ICDH; Oxalosuccinate decarboxylase |
Entrez GeneID | 3417 |
Swissprot | O75874 |
WB Predicted band size | Calculated MW: 47 kDa; Observed MW: 47 kDa |
Host/Isotype | Rabbit IgG |
Antibody Type | Primary antibody |
Storage | Store at 4°C short term. Aliquot and store at -20°C long term. Avoid freeze/thaw cycles. |
Species Reactivity | Human,Mouse,Rat |
Immunogen | A synthetic peptide of human Isocitrate dehydrogenase |
Formulation | Purified antibody in TBS with 0.05% sodium azide,0.05%BSA and 50% glycerol. |
Application |
|
---|---|
WB | 1/500-1/1000 |
IP | 1/10-1/20 |
IHC | 1/50-1/100 |
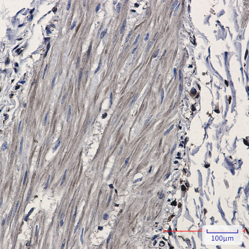
Product Image
For Reseach Only
Application Key:WB - Western Blot | IHC - Immunohistochemistry | ICC - Immunocytochemistry | FCM - Flow Cytometry | ELISA - Enzyme-linked Immunosorbent Assay | IP - Immunoprecipitation
#P20837

相关产品


