提醒成功

搜索
Rabbit Monoclonal Antibody to UFM1
-
货号:
P20827 -
别名:
Ubiquitin-fold modifier 1; C13orf20 -
应用:
WB,IP,IHC -
反应种属:
Human,Mouse -
抗体类型:
Primary antibody -
Swissprot:
P61960 -
规格:
-
数量:
-+ -
说明书:
目录价¥2180

Rabbit Monoclonal Antibody to UFM1
Description |
---|
Ubiquitin-like modifier which can be covalently attached via an isopeptide bond to lysine residues of substrate proteins as a monomer or a lysine-linked polymer. |
Specification |
|
---|---|
Aliases | Ubiquitin-fold modifier 1; C13orf20 |
Entrez GeneID | 51569 |
Swissprot | P61960 |
WB Predicted band size | Calculated MW: 9 kDa; Observed MW: 9 kDa |
Host/Isotype | Rabbit IgG |
Antibody Type | Primary antibody |
Storage | Store at 4°C short term. Aliquot and store at -20°C long term. Avoid freeze/thaw cycles. |
Species Reactivity | Human,Mouse |
Immunogen | A synthetic peptide of human UFM1 |
Formulation | Purified antibody in TBS with 0.05% sodium azide,0.05%BSA and 50% glycerol. |
Application |
|
---|---|
WB | 1/500-1/1000 |
IP | 1/10-1/20 |
IHC | 1/50-1/100 |
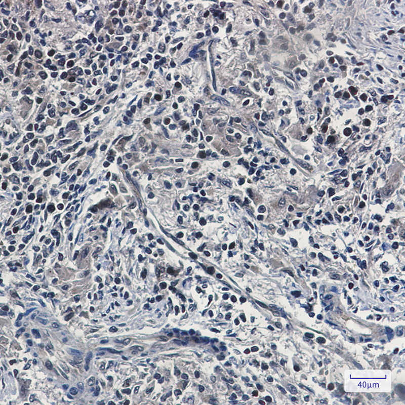
Product Image
- Western blot analysis of UFM1 in 3T3, Raw264.7 lysates using UFM1 antibody.
- Western blot analysis of UFM1 in Jurkat lysates using UFM1 antibody.
- Immunohistochemistry analysis of paraffin-embedded Human lung cancer using UFM1 antibody. High-pressure and temperature Sodium Citrate pH 6.0 was used for antigen retrieval.
For Reseach Only
Application Key:WB - Western Blot | IHC - Immunohistochemistry | ICC - Immunocytochemistry | FCM - Flow Cytometry | ELISA - Enzyme-linked Immunosorbent Assay | IP - Immunoprecipitation
#P20827

相关产品


