提醒成功

搜索
Rabbit Monoclonal Antibody to FMRP
-
货号:
P20825 -
别名:
FMR1; Fragile X mental retardation protein 1; FMRP; Protein FMR-1 -
应用:
WB,IHC,IF -
反应种属:
Human,Monkey -
抗体类型:
Primary antibody -
Swissprot:
Q06787 -
规格:
-
数量:
-+ -
说明书:
目录价¥2180

Rabbit Monoclonal Antibody to FMRP
Description |
---|
The protein encoded by this gene binds RNA and is associated with polysomes. The encoded protein may be involved in mRNA trafficking from the nucleus to the cytoplasm. A trinucleotide repeat (CGG) in the 5' UTR is normally found at 6-53 copies, but an expansion to 55-230 repeats is the cause of fragile X syndrome. |
Specification |
|
---|---|
Aliases | FMR1; Fragile X mental retardation protein 1; FMRP; Protein FMR-1 |
Entrez GeneID | 2332 |
Swissprot | Q06787 |
WB Predicted band size | Calculated MW: 71 kDa; Observed MW: 70-80 kDa |
Host/Isotype | Rabbit IgG |
Antibody Type | Primary antibody |
Storage | Store at 4°C short term. Aliquot and store at -20°C long term. Avoid freeze/thaw cycles. |
Species Reactivity | Human,Monkey |
Immunogen | A synthetic peptide of human FMRP |
Formulation | Purified antibody in TBS with 0.05% sodium azide,0.05%BSA and 50% glycerol. |
Application |
|
---|---|
WB | 1/500-1/1000 |
IHC | 1/50-1/100 |
IF/ICC | 1/50-1/200 |
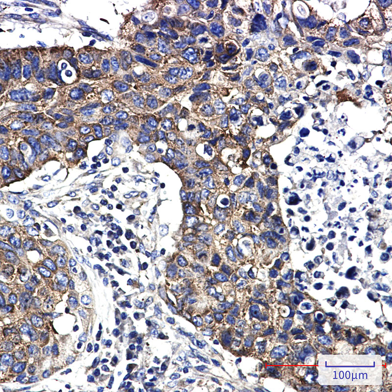
Product Image
- Western blot analysis of FMRP in 293, U2OS, Jurkat, COS7 lysates using FMRP antibody.
- Immunocytochemistry analysis of FMRP (green) in Hela using FMRP antibody,and DAPI(blue)
- Immunohistochemistry analysis of paraffin-embedded Human lung cancer using FMRP antibody.High-pressure and temperature Sodium Citrate pH 6.0 was used for antigen retrieval.
For Reseach Only
Application Key:WB - Western Blot | IHC - Immunohistochemistry | ICC - Immunocytochemistry | FCM - Flow Cytometry | ELISA - Enzyme-linked Immunosorbent Assay | IP - Immunoprecipitation
#P20825

相关产品


