提醒成功

搜索
Rabbit Monoclonal Antibody to E Cadherin
-
货号:
P20822 -
别名:
CDH1; CDHE; UVO; Cadherin-1; CAM 120/80; Epithelial cadherin; E-cadherin; Uvomorulin; CD antigen CD324 -
应用:
WB,IP,IHC,IF -
反应种属:
Human -
抗体类型:
Primary antibody -
Swissprot:
P12830 -
规格:
-
数量:
-+ -
说明书:
目录价¥2180

Rabbit Monoclonal Antibody to E Cadherin
Description |
---|
CDH1 a single-pass type I membrane protein, and calcium dependent cell adhesion proteins. It is a ligand for integrin alpha-E/beta-7, and it colocalizes with DLG7 at sites of cell-cell contact in intestinal epithelial cells. |
Specification |
|
---|---|
Aliases | CDH1; CDHE; UVO; Cadherin-1; CAM 120/80; Epithelial cadherin; E-cadherin; Uvomorulin; CD antigen CD324 |
Entrez GeneID | 999 |
Swissprot | P12830 |
WB Predicted band size | Calculated MW: 97 kDa; Observed MW: 80-120,135 kDa |
Host/Isotype | Rabbit IgG |
Antibody Type | Primary antibody |
Storage | Store at 4°C short term. Aliquot and store at -20°C long term. Avoid freeze/thaw cycles. |
Species Reactivity | Human |
Immunogen | A synthetic peptide of human E Cadherin |
Formulation | Purified antibody in TBS with 0.05% sodium azide,0.05%BSA and 50% glycerol. |
Application |
|
---|---|
WB | 1/500-1/1000 |
IP | 1/10-1/20 |
IHC | 1/50-1/100 |
IF/ICC | 1/50-1/200 |
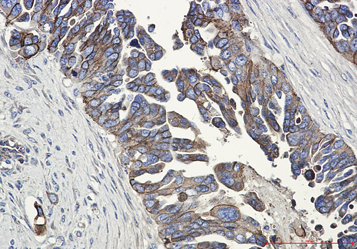
Product Image
- Western blot analysis of E Cadherin in PC-3 lysates using E Cadherin antibody.
- Immunocytochemistry analysis of E Cadherin (green) in MCF-7 using E Cadherin antibody,and DAPI(blue)
- Immunohistochemistry analysis of paraffin-embedded Human Cholangiocarcinoma using E Cadherin antibody.High-pressure and temperature Sodium Citrate pH 6.0 was used for antigen retrieval.
For Reseach Only
Application Key:WB - Western Blot | IHC - Immunohistochemistry | ICC - Immunocytochemistry | FCM - Flow Cytometry | ELISA - Enzyme-linked Immunosorbent Assay | IP - Immunoprecipitation
#P20822

相关产品


