提醒成功

搜索
Rabbit Monoclonal Antibody to MCM6
-
货号:
P20821 -
别名:
minichromosome maintenance complex component 6; Mis5; P105MCM; MCG40308 -
应用:
WB,IP,IHC,IF -
反应种属:
Human -
抗体类型:
Primary antibody -
Swissprot:
Q14566 -
规格:
-
数量:
-+ -
说明书:
目录价¥2180

Rabbit Monoclonal Antibody to MCM6
Description |
---|
Acts as component of the MCM2-7 complex (MCM complex) which is the putative replicative helicase essential for 'once per cell cycle' DNA replication initiation and elongation in eukaryotic cells. |
Specification |
|
---|---|
Aliases | minichromosome maintenance complex component 6; Mis5; P105MCM; MCG40308 |
Entrez GeneID | 4175 |
Swissprot | Q14566 |
WB Predicted band size | Calculated MW: 93 kDa; Observed MW: 93 kDa |
Host/Isotype | Rabbit IgG |
Antibody Type | Primary antibody |
Storage | Store at 4°C short term. Aliquot and store at -20°C long term. Avoid freeze/thaw cycles. |
Species Reactivity | Human |
Immunogen | Recombinant protein of human MCM6 |
Formulation | Purified antibody in TBS with 0.05% sodium azide,0.05%BSA and 50% glycerol. |
Application |
|
---|---|
WB | 1/500-1/1000 |
IP | 1/10-1/20 |
IHC | 1/50-1/100 |
IF/ICC | 1/50-1/200 |
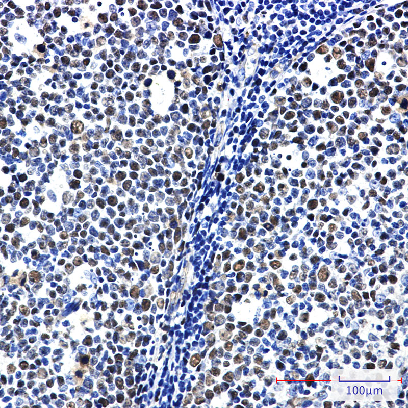
Product Image
- Western blot analysis of MCM6 in Jurkat lysates using MCM6 antibody.
- Immunocytochemistry analysis of MCM6 (green) in Hela using MCM6 antibody,and DAPI(blue)
- Immunohistochemistry analysis of paraffin-embedded Human tonsil using MCM6 antibody.High-pressure and temperature Sodium Citrate pH 6.0 was used for antigen retrieval.
For Reseach Only
Application Key:WB - Western Blot | IHC - Immunohistochemistry | ICC - Immunocytochemistry | FCM - Flow Cytometry | ELISA - Enzyme-linked Immunosorbent Assay | IP - Immunoprecipitation
#P20821

相关产品


