提醒成功

搜索
Mouse Monoclonal Antibody to Cleaved-Caspase 8
-
货号:
P20791 -
别名:
CASP8; MCH5; Caspase-8; CASP-8; Apoptotic cysteine protease; Apoptotic protease Mch-5; CAP4; FADD-homologous ICE/ced-3-like protease; FADD-like ICE; FLICE; ICE-like apoptotic protease 5; MORT1-associated ced-3 homolog; MACH -
应用:
WB,IHC,IF -
反应种属:
Human,Mouse,Rat -
抗体类型:
Primary antibody -
Swissprot:
Q14790 -
规格:
-
数量:
-+ -
说明书:
目录价¥2180

Mouse Monoclonal Antibody to Cleaved-Caspase 8
Description |
---|
This gene encodes a protein that is a member of the cysteine-aspartic acid protease (caspase) family. Sequential activation of caspases plays a central role in the execution-phase of cell apoptosis. Caspases exist as inactive proenzymes composed of a prodomain, a large protease subunit, and a small protease subunit. |
Specification |
|
---|---|
Aliases | CASP8; MCH5; Caspase-8; CASP-8; Apoptotic cysteine protease; Apoptotic protease Mch-5; CAP4; FADD-homologous ICE/ced-3-like protease; FADD-like ICE; FLICE; ICE-like apoptotic protease 5; MORT1-associated ced-3 homolog; MACH |
Entrez GeneID | 841 |
Swissprot | Q14790 |
WB Predicted band size | Calculated MW: 55 kDa; Observed MW: 43,57 kDa |
Host/Isotype | Mouse IgG1 |
Antibody Type | Primary antibody |
Storage | Store at 4°C short term. Aliquot and store at -20°C long term. Avoid freeze/thaw cycles. |
Species Reactivity | Human,Mouse,Rat |
Immunogen | Recombinant Protein of Caspase-8 |
Formulation | Purified antibody in PBS with 0.05% sodium azide,0.5%BSA and 50% glycerol. |
Application |
|
---|---|
WB | 1/500-1/1000 |
IHC | 1/50-1/100 |
IF/ICC | 1/50-1/200 |
Product Image
- Western blot analysis of Caspase8 in K562, 3T3, MCF-7 and Jurkat lysates using Caspase8 antibody.
- Western blot analysis of Caspase 8 (2G12) in THP-1, rat Brain, Hela lysates using Caspase8 antibody.
- Western blot analysis of Caspase 8 (2G12) in Jurkat, MOLT4 lysates using Caspase 8 (2G12) antibody
- Immunocytochemistry analysis of Caspase8 (green) in Hela using Caspase8 antibody,and DAPI(blue).
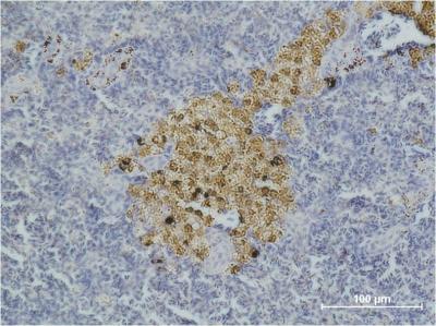
- Immunohistochemistry analysis of paraffin-embedded mouse Spleen Tissue using Caspase8 antibody.High-pressure and temperature Sodium Citrate pH 6.0 was used for antigen retrieval.
For Reseach Only
Application Key:WB - Western Blot | IHC - Immunohistochemistry | ICC - Immunocytochemistry | FCM - Flow Cytometry | ELISA - Enzyme-linked Immunosorbent Assay | IP - Immunoprecipitation
#P20791

相关产品


