提醒成功

搜索
Mouse Monoclonal Antibody to Bcl2
-
货号:
P20790 -
别名:
BCL2; Apoptosis regulator Bcl-2 -
应用:
WB,IHC,IF -
反应种属:
Human,Chicken -
抗体类型:
Primary antibody -
Swissprot:
P10415 -
规格:
-
数量:
-+ -
说明书:
目录价¥2180

Mouse Monoclonal Antibody to Bcl2
Description |
---|
This gene encodes an integral outer mitochondrial membrane protein that blocks the apoptotic death of some cells such as lymphocytes. Constitutive expression of BCL2, such as in the case of translocation of BCL2 to Ig heavy chain locus, is thought to be the cause of follicular lymphoma. |
Specification |
|
---|---|
Aliases | BCL2; Apoptosis regulator Bcl-2 |
Entrez GeneID | 596 |
Swissprot | P10415 |
clone | 12C6 |
WB Predicted band size | Calculated MW: 26 kDa; Observed MW: 26 kDa |
Host/Isotype | Mouse IgG1 |
Antibody Type | Primary antibody |
Storage | Store at 4°C short term. Aliquot and store at -20°C long term. Avoid freeze/thaw cycles. |
Species Reactivity | Human,Chicken |
Immunogen | Synthetic Peptide of Bcl-2 |
Formulation | Purified antibody in PBS with 0.05% sodium azide,0.5%BSA and 50% glycerol. |
Application |
|
---|---|
WB | 1/500-1/1000 |
IHC | 1/50-1/100 |
IF/ICC | 1/50-1/200 |
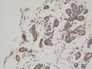
Product Image
- Western blot analysis of Bcl2 in chicken lysates using Bcl2 antibody
- Western blot analysis of Bcl2 in Human breast cancer cell line MCF-7(A), MDAMB231(B) and Cal51(C) using Bcl2 antibody.
- Immunohistochemistry analysis of paraffin-embedded Human tonsil tissue using Bcl2 antibody.High-pressure and temperature Sodium Citrate pH 6.0 was used for antigen retrieval.
- Immunohistochemistry analysis of paraffin-embedded Human breast cancer using Bcl2 antibody.High-pressure and temperature Sodium Citrate pH 6.0 was used for antigen retrieval.
For Reseach Only
Application Key:WB - Western Blot | IHC - Immunohistochemistry | ICC - Immunocytochemistry | FCM - Flow Cytometry | ELISA - Enzyme-linked Immunosorbent Assay | IP - Immunoprecipitation
#P20790

相关产品


