提醒成功

搜索
Mouse Monoclonal Antibody to Cytochrome C
-
货号:
P20788 -
别名:
CYCS; CYC; Cytochrome c -
应用:
WB,IHC,IF -
反应种属:
Human,Mouse,Rat,Chicken -
抗体类型:
Primary antibody -
Swissprot:
P99999 -
规格:
-
数量:
-+ -
说明书:
目录价¥2180

Mouse Monoclonal Antibody to Cytochrome C
Description |
---|
CYCS Electron carrier protein. The oxidized form of the cytochrome c heme group can accept an electron from the heme group of the cytochrome c1 subunit of cytochrome reductase. Cytochrome c then transfers this electron to the cytochrome oxidase complex, the final protein carrier in the mitochondrial electron-transport chain. |
Specification |
|
---|---|
Aliases | CYCS; CYC; Cytochrome c |
Entrez GeneID | 54205 |
Swissprot | P99999 |
clone | 7C5 |
WB Predicted band size | Calculated MW: 12 kDa; Observed MW: 12 kDa |
Host/Isotype | Mouse IgG1 |
Antibody Type | Primary antibody |
Storage | Store at 4°C short term. Aliquot and store at -20°C long term. Avoid freeze/thaw cycles. |
Species Reactivity | Human,Mouse,Rat,Chicken |
Immunogen | Recombinant Protein of CYCS |
Formulation | Purified antibody in PBS with 0.05% sodium azide,0.5%BSA and 50% glycerol. |
Application |
|
---|---|
WB | 1/500-1/1000 |
IHC | 1/50-1/100 |
IF/ICC | 1/50-1/200 |
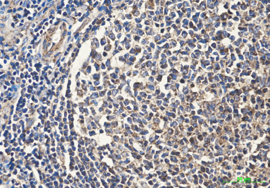
Product Image
- Western blot analysis of Cytochrome c in T47D, 3T3, COS7, C6 and Hela lysates using Cytochrome c antibody.
- Western blot analysis of Cytochrome C in Hela, T47D, mouse brain, K562, rat brain lysates using Cytochrome C antibody.
- Immunocytochemistry analysis of Cytochrome C (7C1) (green) in Hela using Cytochrome C (7C1) antibody ,and DAPI(blue)
- Immunohistochemistry analysis of paraffin-embedded uman tonsil tissue using Cytochrome C antibody.High-pressure and temperature Sodium Citrate pH 6.0 was used for antigen retrieval.
For Reseach Only
Application Key:WB - Western Blot | IHC - Immunohistochemistry | ICC - Immunocytochemistry | FCM - Flow Cytometry | ELISA - Enzyme-linked Immunosorbent Assay | IP - Immunoprecipitation
#P20788

相关产品


