提醒成功
搜索
Mouse Monoclonal Antibody to CD45
-
货号:
P20769 -
别名:
GP180; L CA; CD45 antigen -
应用:
WB,IHC,IF -
反应种属:
Human -
抗体类型:
Primary antibody -
Swissprot:
P08575 -
规格:
-
数量:
-+ -
说明书:
目录价¥2180
Mouse Monoclonal Antibody to CD45
Description |
|---|
Protein tyrosine-protein phosphatase required for T-cell activation through the antigen receptor. Acts as a positive regulator of T-cell coactivation upon binding to DPP4. The first PTPase domain has enzymatic activity, while the second one seems to affect the substrate specificity of the first one. Upon T-cell activation, recruits and dephosphorylates SKAP1 and FYN . Dephosphorylates LYN, and thereby modulates LYN activity. |
Specification |
|
|---|---|
| Aliases | GP180; L CA; CD45 antigen |
| Entrez GeneID | 19264 |
| Swissprot | P08575 |
| clone | 9D3 |
| WB Predicted band size | Calculated MW: 145 kDa; Observed MW: 145 kDa |
| Host/Isotype | Mouse IgG1 |
| Antibody Type | Primary antibody |
| Storage | Store at 4°C short term. Aliquot and store at -20°C long term. Avoid freeze/thaw cycles. |
| Species Reactivity | Human |
| Immunogen | Synthetic Peptide of CD45 |
| Formulation | Purified antibody in PBS with 0.05% sodium azide,0.5%BSA and 50% glycerol. |
Application |
|
|---|---|
| WB | 1/500-1/1000 |
| IHC | 1/50-1/100 |
| IF/ICC | 1/50-1/200 |
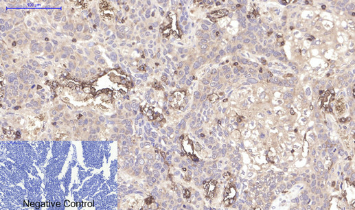
Product Image
- Western blot analysis of CD45 in Jurkat lysates using CD45 antibody.
- Immunofluorescence analysis of CD45 in Human livercancer tissue using CD45 antibody(red),and DAPI (blue).
- Immunohistochemical analysis of paraffin-embedded Human tonsils using CD45 antibody.High-pressure and temperature Sodium Citrate pH 6.0 was used for antigen retrieval.Negative control was used by secondary antibody only.
For Reseach Only
Application Key:WB - Western Blot | IHC - Immunohistochemistry | ICC - Immunocytochemistry | FCM - Flow Cytometry | ELISA - Enzyme-linked Immunosorbent Assay | IP - Immunoprecipitation
#P20769
相关产品

微信/QQ登录


首页
