提醒成功
搜索
Mouse Monoclonal Antibody to FH
-
货号:
P20759 -
别名:
Fumarate hydratase; mitochondrial; Fumarase -
应用:
WB,IHC,IF -
反应种属:
Human,Mouse,Rat -
抗体类型:
Primary antibody -
Swissprot:
P07954 -
规格:
-
数量:
-+ -
说明书:
目录价¥2180
Mouse Monoclonal Antibody to FH
Description |
|---|
Also acts as a tumor suppressor.MiscellaneousThere are 2 substrate-binding sites: the catalytic A site, and the non-catalytic B site that may play a role in the transfer of substrate or product between the active site and the solvent. Alternatively, the B site may bind allosteric effectors . |
Specification |
|
|---|---|
| Aliases | Fumarate hydratase; mitochondrial; Fumarase |
| Entrez GeneID | 2271 |
| Swissprot | P07954 |
| clone | 9A1 |
| WB Predicted band size | Calculated MW: 55 kDa; Observed MW: 50 kDa |
| Host/Isotype | Mouse IgG1 |
| Antibody Type | Primary antibody |
| Storage | Store at 4°C short term. Aliquot and store at -20°C long term. Avoid freeze/thaw cycles. |
| Species Reactivity | Human,Mouse,Rat |
| Immunogen | Synthetic Peptide of FH |
| Formulation | Purified antibody in PBS with 0.05% sodium azide,0.5%BSA and 50% glycerol. |
Application |
|
|---|---|
| WB | 1/500-1/1000 |
| IHC | 1/50-1/100 |
| IF/ICC | 1/50-1/200 |
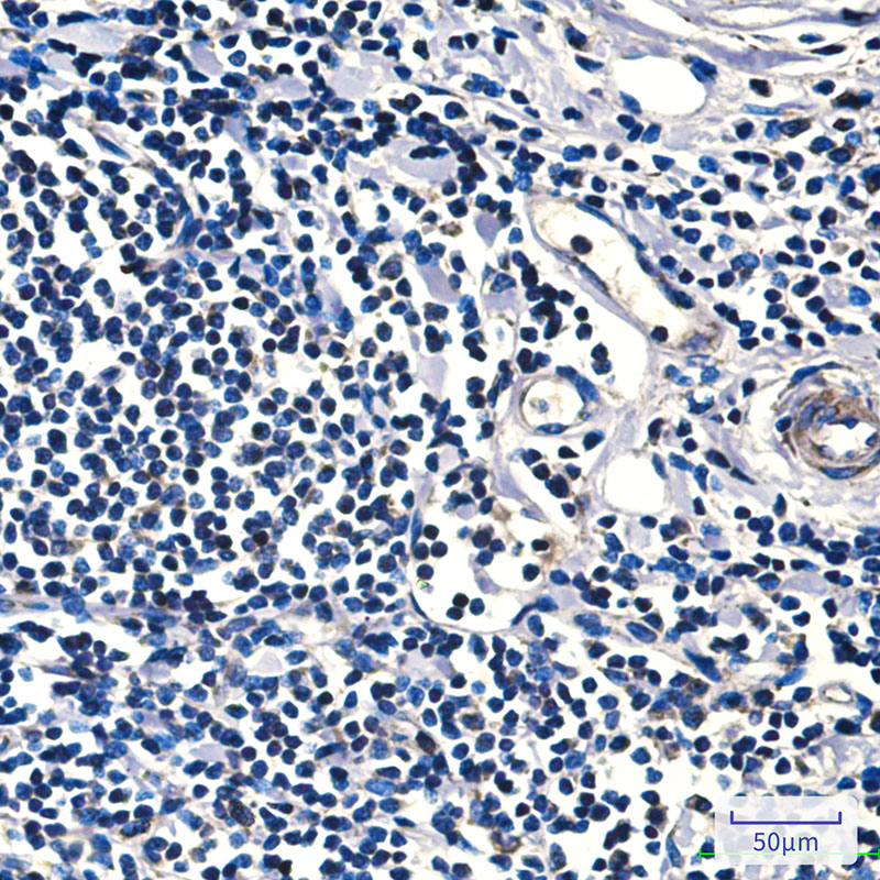
Product Image
- Western blot analysis of Fumarase in MCF-7, Jurkat and Hela lysates using Fumarase antibody.
- Western blot analysis of FH in K562, Ramos, Jurkat, Hela lysates using Fumarase antibody.
- Immunocytochemistry analysis of FH/Fumarase (green) in Hela using FH/Fumarase antibody ,and DAPI(blue)
- Immunohistochemistry analysis of paraffin-embedded Human tonsil tissue using FH/Fumarase antibody.High-pressure and temperature Sodium Citrate pH 6.0 was used for antigen retrieval.
For Reseach Only
Application Key:WB - Western Blot | IHC - Immunohistochemistry | ICC - Immunocytochemistry | FCM - Flow Cytometry | ELISA - Enzyme-linked Immunosorbent Assay | IP - Immunoprecipitation
#P20759
相关产品

微信/QQ登录


首页
