提醒成功
搜索
Mouse Monoclonal Antibody to NSE
-
货号:
P20758 -
别名:
ENO2; Gamma-enolase; 2-phospho-D-glycerate hydro-lyase; Enolase 2; Neural enolase; Neuron-specific enolase; NSE -
应用:
WB,IHC,IF -
反应种属:
Human,Mouse,Rat -
抗体类型:
Primary antibody -
Swissprot:
P09104 -
规格:
-
数量:
-+ -
说明书:
目录价¥2180
Mouse Monoclonal Antibody to NSE
Description |
|---|
ENO2 an enzyme with 2-phospho-D-glycerate hydro-lyase activity. One of the three enolase isoenzymes found in mammals. This isoenzyme, a homodimer, is found in mature neurons and cells of neuronal origin. A switch from alpha enolase to gamma enolase occurs in neural tissue during development in rats and primates. |
Specification |
|
|---|---|
| Aliases | ENO2; Gamma-enolase; 2-phospho-D-glycerate hydro-lyase; Enolase 2; Neural enolase; Neuron-specific enolase; NSE |
| Entrez GeneID | 2026 |
| Swissprot | P09104 |
| clone | 7D8 |
| WB Predicted band size | Calculated MW: 47 kDa; Observed MW: 47 kDa |
| Host/Isotype | Mouse IgG1 |
| Antibody Type | Primary antibody |
| Storage | Store at 4°C short term. Aliquot and store at -20°C long term. Avoid freeze/thaw cycles. |
| Species Reactivity | Human,Mouse,Rat |
| Immunogen | Synthetic Peptide of NSE |
| Formulation | Purified antibody in PBS with 0.05% sodium azide,0.5%BSA and 50% glycerol. |
Application |
|
|---|---|
| WB | 1/500-1/1000 |
| IHC | 1/50-1/100 |
| IF/ICC | 1/50-1/200 |
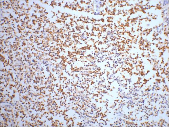
Product Image
- Western blot analysis of Enolase2 in COS7, C6 and Hela lysates using Enolase2 antibody.
- Western blot analysis of NSE in Enolase in CHO-K1, rat brain, C6, 3T3, Hela lysates using Enolase antibody.
- Immunocytochemistry analysis of NSE (green) in Hela using NSE antibody ,and DAPI(blue)
- Immunohistochemistry analysis of paraffin-embedded Human small cell carcinoma of lung tissue using NSE antibody.High-pressure and temperature Sodium Citrate pH 6.0 was used for antigen retrieval.
For Reseach Only
Application Key:WB - Western Blot | IHC - Immunohistochemistry | ICC - Immunocytochemistry | FCM - Flow Cytometry | ELISA - Enzyme-linked Immunosorbent Assay | IP - Immunoprecipitation
#P20758
相关产品

微信/QQ登录


首页
