提醒成功

搜索
Mouse Monoclonal Antibody to HtrA2
-
货号:
P20739 -
别名:
High temperature requirement protein A2; HTRA 2; HtrA like serine protease; HtrA serine peptidase 2; HtrA; E. coli; homolog of; 2; HtrA2; HTRA2_HUMAN; mitochondrial; Omi stress regulated endoprotease; Omi stress-regulated endoprotease; PARK 13; PARK13; Protease serine 25; PRSS 25; PRSS25; Serine protease 25; Serine protease HTRA2; Serine protease HTRA2 mitochondrial; Serine protease htra2 mitochondrial precursor; Serine protease omi; Serine proteinase OMI. -
应用:
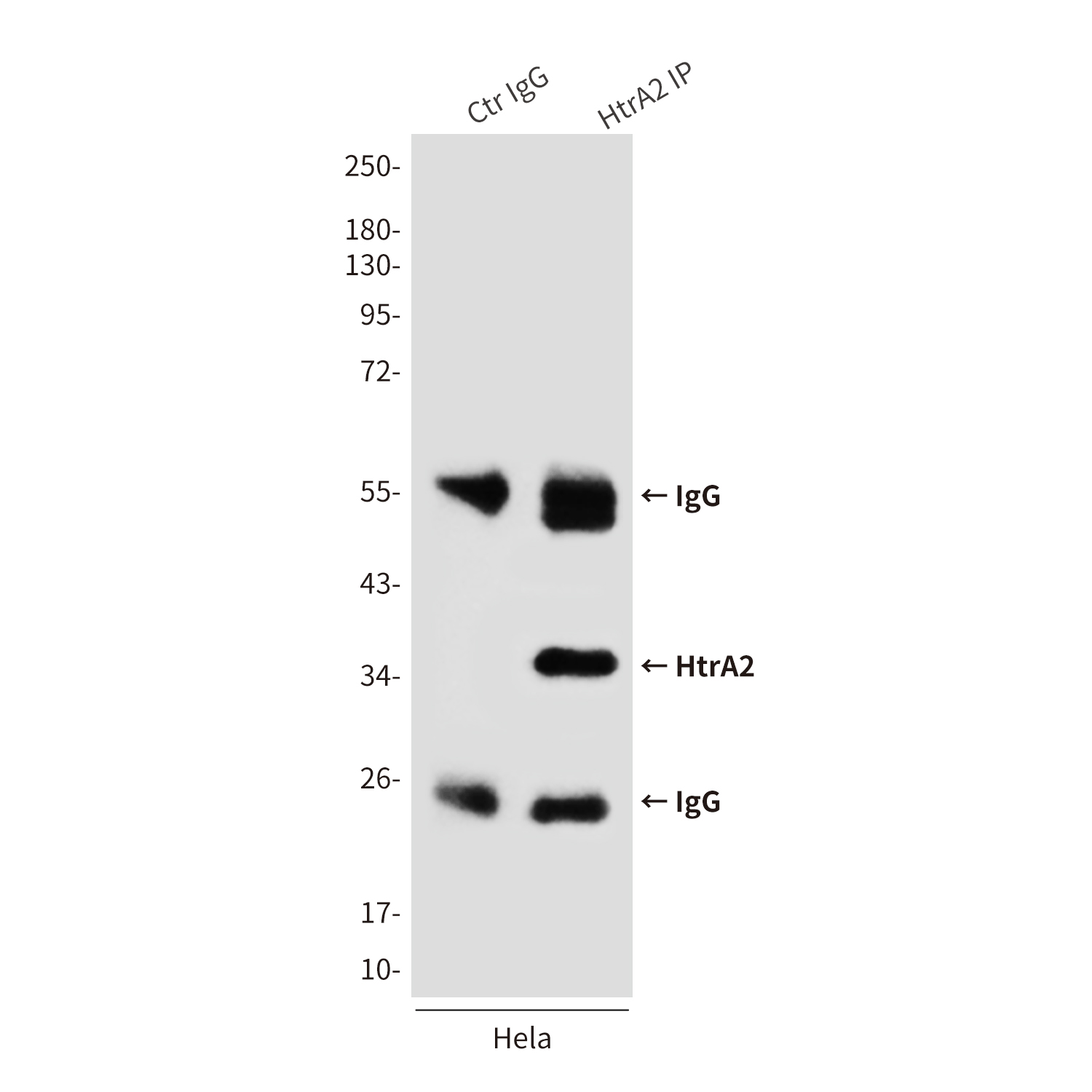
WB,IP -
反应种属:
Human -
抗体类型:
Primary antibody -
Swissprot:
O43464 -
规格:
-
数量:
-+ -
说明书:
目录价¥2180

Mouse Monoclonal Antibody to HtrA2
Description |
---|
High temperature requirement protein A2 (HtrA2)/Omi is a serine protease with homology to the E. coli HtrA protein (DegP) and is thought to be involved in apoptosis and stress-induced degradation of misfolded proteins. While HtrA2 was orignally identified to be present in either the nucleus or endoplasmic reticulum, subsequent studies have shown that it localizes in mitochondria and is released during apoptosis. |
Specification |
|
---|---|
Aliases | High temperature requirement protein A2; HTRA 2; HtrA like serine protease; HtrA serine peptidase 2; HtrA; E. coli; homolog of; 2; HtrA2; HTRA2_HUMAN; mitochondrial; Omi stress regulated endoprotease; Omi stress-regulated endoprotease; PARK 13; PARK13; Protease serine 25; PRSS 25; PRSS25; Serine protease 25; Serine protease HTRA2; Serine protease HTRA2 mitochondrial; Serine protease htra2 mitochondrial precursor; Serine protease omi; Serine proteinase OMI. |
Entrez GeneID | 27429 |
Swissprot | O43464 |
clone | 6F10 |
WB Predicted band size | Calculated MW: 49 kDa; Observed MW: 37 kDa |
Host/Isotype | Mouse IgG1 |
Antibody Type | Primary antibody |
Storage | Store at 4°C short term. Aliquot and store at -20°C long term. Avoid freeze/thaw cycles. |
Species Reactivity | Human |
Immunogen | Recombinant human HtrA2/Omi protein. |
Formulation | Purified antibody in PBS with 0.05% sodium azide,0.5%BSA and 50% glycerol. |
Application |
|
---|---|
WB | 1/500-1/1000 |
IP | 1/10-1/20 |
Product Image
For Reseach Only
Application Key:WB - Western Blot | IHC - Immunohistochemistry | ICC - Immunocytochemistry | FCM - Flow Cytometry | ELISA - Enzyme-linked Immunosorbent Assay | IP - Immunoprecipitation
#P20739

相关产品


