提醒成功
搜索
Mouse Monoclonal Antibody to DNA PKcs
-
货号:
P20726 -
别名:
PRKDC; HYRC; HYRC1; DNA-dependent protein kinase catalytic subunit; DNA-PK catalytic subunit; DNA-PKcs; DNPK1; p460 -
应用:
WB,IP,IHC,IF -
反应种属:
Human -
抗体类型:
Primary antibody -
Swissprot:
P78527 -
规格:
-
数量:
-+ -
说明书:
目录价¥2180
Mouse Monoclonal Antibody to DNA PKcs
Description |
|---|
The PRKDC gene encodes the catalytic subunit of a nuclear DNA-dependent serine/threonine protein kinase (DNA-PK). The second component is the autoimmune antigen Ku (MIM 152690), which is encoded by the G22P1 gene on chromosome 22q. On its own, the catalytic subunit of DNA-PK is inactive and relies on the G22P1 component to direct it to the DNA and trigger its kinase activity; PRKDC must be bound to DNA to express its catalytic properties. |
Specification |
|
|---|---|
| Aliases | PRKDC; HYRC; HYRC1; DNA-dependent protein kinase catalytic subunit; DNA-PK catalytic subunit; DNA-PKcs; DNPK1; p460 |
| Entrez GeneID | 5591 |
| Swissprot | P78527 |
| clone | 7G3 |
| WB Predicted band size | Calculated MW: 469 kDa; Observed MW: 450 kDa |
| Host/Isotype | Mouse IgG1 |
| Antibody Type | Primary antibody |
| Storage | Store at 4°C short term. Aliquot and store at -20°C long term. Avoid freeze/thaw cycles. |
| Species Reactivity | Human |
| Immunogen | Purified recombinant human DNA-PKcs protein fragments expressed in E.coli |
| Formulation | Purified antibody in PBS with 0.05% sodium azide,0.5%BSA and 50% glycerol. |
Application |
|
|---|---|
| WB | 1/500-1/1000 |
| IP | 1/10-1/20 |
| IHC | 1/50-1/100 |
| IF/ICC | 1/50-1/200 |
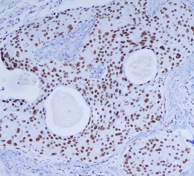
Product Image
- Western blot analysis of DNAPKcs in Hela and K562 lysates using DNAPKcs antibody.
- Western blot analysis of DNAPKcs in Hela, Molt4, A549 and HCT116 lysates using DNAPKcs antibody.
- Immunoprecipitation analysis of DNA PKcs in Hela lysates using DNAPKcs antibody.
- Immunocytochemistry analysis of DNA PKcs in Hela using DNAPKcs antibody.
- Immunohistochemistry analysis of paraffin-embedded Breast cancer using DNAPKcs antibody.High-pressure and temperature Sodium Citrate pH 6.0 was used for antigen retrieval.
For Reseach Only
Application Key:WB - Western Blot | IHC - Immunohistochemistry | ICC - Immunocytochemistry | FCM - Flow Cytometry | ELISA - Enzyme-linked Immunosorbent Assay | IP - Immunoprecipitation
#P20726
相关产品

微信/QQ登录


首页
