提醒成功

搜索
Mouse Monoclonal Antibody to GRP78 BiP
-
货号:
P20709 -
别名:
HSPA5; GRP78; 78 kDa glucose-regulated protein; GRP-78; Endoplasmic reticulum lumenal Ca(2+)-binding protein grp78; Heat shock 70 kDa protein 5; Immunoglobulin heavy chain-binding protein; BiP -
应用:
WB,IHC,IF -
反应种属:
Human,Rat -
抗体类型:
Primary antibody -
Swissprot:
P11021 -
规格:
-
数量:
-+ -
说明书:
目录价¥2180

Mouse Monoclonal Antibody to GRP78 BiP
Description |
---|
When Chinese hamster K12 cells are starved of glucose, the synthesis of several proteins, called glucose-regulated proteins (GRPs), is markedly increased. Hendershot et al. (1994) (PubMed 8020977) pointed out that one of these, GRP78 (HSPA5), also referred to as 'immunoglobulin heavy chain-binding protein' (BiP), is a member of the heat-shock protein-70 (HSP70) family and is involved in the folding and assembly of proteins in the endoplasmic reticulum (ER). |
Specification |
|
---|---|
Aliases | HSPA5; GRP78; 78 kDa glucose-regulated protein; GRP-78; Endoplasmic reticulum lumenal Ca(2+)-binding protein grp78; Heat shock 70 kDa protein 5; Immunoglobulin heavy chain-binding protein; BiP |
Entrez GeneID | 3309 |
Swissprot | P11021 |
clone | 7B5 |
WB Predicted band size | Calculated MW: 72 kDa; Observed MW: 78 kDa |
Host/Isotype | Mouse IgG1 |
Antibody Type | Primary antibody |
Storage | Store at 4°C short term. Aliquot and store at -20°C long term. Avoid freeze/thaw cycles. |
Species Reactivity | Human,Rat |
Immunogen | Purified recombinant human BiP/GRP78 (C-terminus) protein fragments expressed in E.coli. |
Formulation | Purified antibody in PBS with 0.05% sodium azide,0.5%BSA and 50% glycerol. |
Application |
|
---|---|
WB | 1/500-1/1000 |
IHC | 1/50-1/100 |
IF/ICC | 1/50-1/200 |
Product Image
- Western blot analysis of BiP/GRP78 (Cterminus) in Hela, C6, Lncap and MDA-MB-468 lysates using BiP/GRP78 (Cterminus) antibody.
- Immunocytochemistry analysis of GRP78 BiP in HeLa using BiP/GRP78 (Cterminus) antibody.
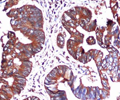
- Immunohistochemistry analysis of paraffin-embedded Colorectal cancer using BiP/GRP78 (Cterminus) antibody. High-pressure and temperature Sodium Citrate pH 6.0 was used for antigen retrieval.
For Reseach Only
Application Key:WB - Western Blot | IHC - Immunohistochemistry | ICC - Immunocytochemistry | FCM - Flow Cytometry | ELISA - Enzyme-linked Immunosorbent Assay | IP - Immunoprecipitation
#P20709

相关产品


