提醒成功

搜索
Mouse Monoclonal Antibody to Cyclophilin B
-
货号:
P20703 -
别名:
PPIB; CYPB; Peptidyl-prolyl cis-trans isomerase B; PPIase B; CYP-S1; Cyclophilin B; Rotamase B; S-cyclophilin; SCYLP -
应用:
WB,IHC -
反应种属:
Human,Mouse,Rat -
抗体类型:
Primary antibody -
Swissprot:
P23284 -
规格:
-
数量:
-+ -
说明书:
目录价¥2180

Mouse Monoclonal Antibody to Cyclophilin B
Description |
---|
PPIases accelerate the folding of proteins. It catalyzes the cis-trans isomerization of proline imidic peptide bonds in oligopeptides. |
Specification |
|
---|---|
Aliases | PPIB; CYPB; Peptidyl-prolyl cis-trans isomerase B; PPIase B; CYP-S1; Cyclophilin B; Rotamase B; S-cyclophilin; SCYLP |
Entrez GeneID | 5479 |
Swissprot | P23284 |
clone | 5H5 |
WB Predicted band size | Calculated MW: 24 kDa; Observed MW: 24 kDa |
Host/Isotype | Mouse IgG1 |
Antibody Type | Primary antibody |
Storage | Store at 4°C short term. Aliquot and store at -20°C long term. Avoid freeze/thaw cycles. |
Species Reactivity | Human,Mouse,Rat |
Immunogen | Synthetic peptide conjugated to KLH. |
Formulation | Purified antibody in PBS with 0.05% sodium azide,0.5%BSA and 50% glycerol. |
Application |
|
---|---|
WB | 1/500-1/1000 |
IHC | 1/50-1/100 |
Product Image
- Western blot analysis of Cyclophilin B in PC-3, T47D, COS7, C6 lysates using Cyclophilin B antibody
- Western blot analysis of Cyclophilin B in Hela, COS7, PC-3, Human placenta, Jurkat lysates using Cyclophilin B antibody.
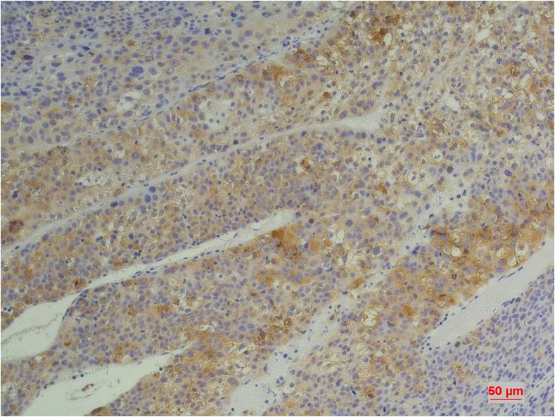
- Immunohistochemistry analysis of paraffin-embedded Human Heptacarcinoma using Cyclophilin B antibody.High-pressure and temperature Sodium Citrate pH 6.0 was used for antigen retrieval.
- Immunohistochemical analysis of paraffin-embedded Human tonsils using Cyclophilin B antibody.High-pressure and temperature Sodium Citrate pH 6.0 was used for antigen retrieval.
For Reseach Only
Application Key:WB - Western Blot | IHC - Immunohistochemistry | ICC - Immunocytochemistry | FCM - Flow Cytometry | ELISA - Enzyme-linked Immunosorbent Assay | IP - Immunoprecipitation
#P20703

相关产品


