提醒成功

搜索
Mouse Monoclonal Antibody to Hsp90 alpha
-
货号:
P20697 -
别名:
HSP90AA1; HSP90A; HSPC1; HSPCA; Heat shock protein HSP 90-alpha; Heat shock 86 kDa; HSP 86; HSP86; Renal carcinoma antigen NY-REN-38 -
应用:
WB,IHC -
反应种属:
Human,Mouse,Rat -
抗体类型:
Primary antibody -
Swissprot:
P07900 -
规格:
-
数量:
-+ -
说明书:
目录价¥2180

Mouse Monoclonal Antibody to Hsp90 alpha
Description |
---|
HSP90A a molecular chaperone of the heat shock protein 90 family. Has ATPase activity. Known to interact with a wide variety of proteins including steroid hormone receptors, neuropeptide Y, FKBP51/54, and FKBP52. G protein-coupled receptor kinases are stabilized by interacting with HSP 90. Hsp70 and Hsp90 promote tau solubility and tau binding to microtubules, reducing insoluble tau. |
Specification |
|
---|---|
Aliases | HSP90AA1; HSP90A; HSPC1; HSPCA; Heat shock protein HSP 90-alpha; Heat shock 86 kDa; HSP 86; HSP86; Renal carcinoma antigen NY-REN-38 |
Entrez GeneID | 3320 |
Swissprot | P07900 |
clone | 7G6 |
WB Predicted band size | Calculated MW: 85 kDa; Observed MW: 95 kDa |
Host/Isotype | Mouse IgG1 |
Antibody Type | Primary antibody |
Storage | Store at 4°C short term. Aliquot and store at -20°C long term. Avoid freeze/thaw cycles. |
Species Reactivity | Human,Mouse,Rat |
Immunogen | Purified recombinant protein expressed in E.coli. |
Formulation | Purified antibody in PBS with 0.05% sodium azide,0.5%BSA and 50% glycerol. |
Application |
|
---|---|
WB | 1/500-1/1000 |
IHC | 1/50-1/100 |
Product Image
- Western blot analysis of Hsp90 alpha in K562, Ramos, Jurkat, rat Brain lysates using Hsp90 alpha antibody
- Western blot analysis of Hsp90 alpha in Hela, A549, HL6, U2OS, C6 lysates using Hsp90 alpha antibody
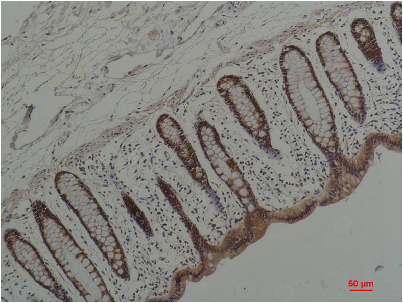
- Immunohistochemistry analysis of paraffin-embedded Human Colon Caricnoma using Hsp90 alpha antibody.High-pressure and temperature Sodium Citrate pH 6.0 was used for antigen retrieval.
For Reseach Only
Application Key:WB - Western Blot | IHC - Immunohistochemistry | ICC - Immunocytochemistry | FCM - Flow Cytometry | ELISA - Enzyme-linked Immunosorbent Assay | IP - Immunoprecipitation
#P20697

相关产品


