提醒成功

搜索
Mouse Monoclonal Antibody to HP1 gamma
-
货号:
P20689 -
别名:
CBX3; Chromobox protein homolog 3; HECH; Heterochromatin protein 1 homolog gamma; HP1 gamma; Modifier 2 protein -
应用:
WB,IHC -
反应种属:
Human,Mouse,Rat -
抗体类型:
Primary antibody -
Swissprot:
Q13185 -
规格:
-
数量:
-+ -
说明书:
目录价¥2180

Mouse Monoclonal Antibody to HP1 gamma
Description |
---|
Recognizes and binds histone H3 tails methylated at 'Lys-9', leading to epigenetic repression. May contribute to the association of the heterochromatin with the inner nuclear membrane through its interaction with lamin B receptor (LBR). Involved in the formation of functional kinetochore through interaction with MIS12 complex proteins. |
Specification |
|
---|---|
Aliases | CBX3; Chromobox protein homolog 3; HECH; Heterochromatin protein 1 homolog gamma; HP1 gamma; Modifier 2 protein |
Entrez GeneID | 11335 |
Swissprot | Q13185 |
clone | 9G7 |
WB Predicted band size | Calculated MW: 21 kDa; Observed MW: 24 kDa |
Host/Isotype | Mouse IgG1 |
Antibody Type | Primary antibody |
Storage | Store at 4°C short term. Aliquot and store at -20°C long term. Avoid freeze/thaw cycles. |
Species Reactivity | Human,Mouse,Rat |
Immunogen | Purified recombinant protein expressed in E.coli. |
Formulation | Purified antibody in PBS with 0.05% sodium azide,0.5%BSA and 50% glycerol. |
Application |
|
---|---|
WB | 1/500-1/1000 |
IHC | 1/50-1/100 |
Product Image
- Western blot analysis of HP1 gamma in Hela lysates , 3T3 lysates , PC-12 lysates using HP1 gamma antibody
- Western blot analysis of HP1 gamma in MCF-7, HepG2, Raw264.7, Hela lysates using HP1 gamma antibody.
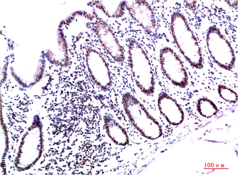
- Immunohistochemistry analysis of paraffin-embedded Human Colon Carcinoma Tissue using HP1 gamma antibody.High-pressure and temperature Sodium Citrate pH 6.0 was used for antigen retrieval.
- Immunohistochemical analysis of paraffin-embedded Human tonsils using HP1 gamma antibody.High-pressure and temperature Sodium Citrate pH 6.0 was used for antigen retrieval.
For Reseach Only
Application Key:WB - Western Blot | IHC - Immunohistochemistry | ICC - Immunocytochemistry | FCM - Flow Cytometry | ELISA - Enzyme-linked Immunosorbent Assay | IP - Immunoprecipitation
#P20689

相关产品


