提醒成功

搜索
Mouse Monoclonal Antibody to DDIT3
-
货号:
P20687 -
别名:
DDIT3; CHOP; CHOP10; GADD153; DNA damage-inducible transcript 3 protein; DDIT-3; C/EBP-homologous protein; CHOP; C/EBP-homologous protein 10; CHOP-10; Growth arrest and DNA damage-inducible protein GADD153 -
应用:
WB,IHC,IF -
反应种属:
Human,Mouse,Rat -
抗体类型:
Primary antibody -
Swissprot:
P35638 -
规格:
-
数量:
-+ -
说明书:
目录价¥2180

Mouse Monoclonal Antibody to DDIT3
Description |
---|
Inhibits the DNA-binding activity of C/EBP and LAP by forming heterodimers that cannot bind DNA. |
Specification |
|
---|---|
Aliases | DDIT3; CHOP; CHOP10; GADD153; DNA damage-inducible transcript 3 protein; DDIT-3; C/EBP-homologous protein; CHOP; C/EBP-homologous protein 10; CHOP-10; Growth arrest and DNA damage-inducible protein GADD153 |
Entrez GeneID | 1649 |
Swissprot | P35638 |
clone | 8D12 |
WB Predicted band size | Calculated MW: 19 kDa; Observed MW: 27 kDa |
Host/Isotype | Mouse IgG1 |
Antibody Type | Primary antibody |
Storage | Store at 4°C short term. Aliquot and store at -20°C long term. Avoid freeze/thaw cycles. |
Species Reactivity | Human,Mouse,Rat |
Immunogen | Synthetic peptide conjugated to KLH. |
Formulation | Purified antibody in PBS with 0.05% sodium azide,0.5%BSA and 50% glycerol. |
Application |
|
---|---|
WB | 1/500-1/1000 |
IHC | 1/50-1/100 |
IF/ICC | 1/50-1/200 |
Product Image
- Western blot analysis of DDIT3 in mouse Liver lysates using DDIT3 antibody.
- Immunofluorescence analysis of DDIT3 in mouse brain tissue using DDIT3 antibody(red),and DAPI (blue).
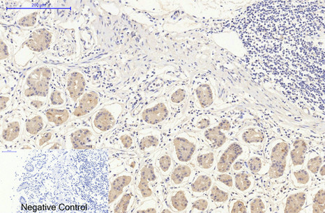
- Immunohistochemistry analysis of paraffin-embedded Human stomach tissue using DDIT3 antibody.High-pressure and temperature Sodium Citrate pH 6.0 was used for antigen retrieval.Negative control was used by secondary antibody only.
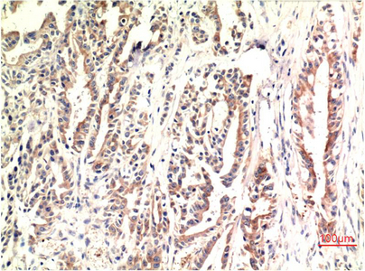
- Immunohistochemistry analysis of paraffin-embedded Human Stomach Carcinoma Tissue using CHOP antibody. High-pressure and temperature Sodium Citrate pH 6.0 was used for antigen retrieval.
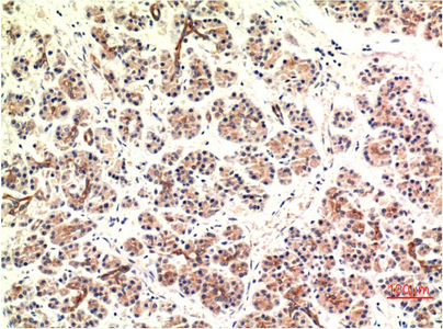
- Immunohistochemistry analysis of paraffin-embedded Human Pancreas Carcinoma Tissue using CHOP antibody.High-pressure and temperature Sodium Citrate pH 6.0 was used for antigen retrieval.
For Reseach Only
Application Key:WB - Western Blot | IHC - Immunohistochemistry | ICC - Immunocytochemistry | FCM - Flow Cytometry | ELISA - Enzyme-linked Immunosorbent Assay | IP - Immunoprecipitation
#P20687

相关产品


