提醒成功

搜索
Mouse Monoclonal Antibody to EGFR
-
货号:
P20677 -
别名:
EGFR; ERBB; ERBB1; HER1; Epidermal growth factor receptor; Proto-oncogene c-ErbB-1; Receptor tyrosine-protein kinase erbB-1 -
应用:
WB,IHC,IF -
反应种属:
Human -
抗体类型:
Primary antibody -
Swissprot:
P00533 -
规格:
-
数量:
-+ -
说明书:
目录价¥2180

Mouse Monoclonal Antibody to EGFR
Description |
---|
EGFR is a receptor tyrosine kinase. Receptor for epidermal growth factor (EGF) and related growth factors including TGF-alpha, amphiregulin, betacellulin, heparin-binding EGF-like growth factor, GP30 and vaccinia virus growth factor. Is involved in the control of cell growth and differentiation. . A single-pass transmembrane tyrosine kinase. Ligand binding to this receptor results in receptor dimerization, autophosphorylation (in trans), activation of various downstream signaling molecules and lysosomal degradation. |
Specification |
|
---|---|
Aliases | EGFR; ERBB; ERBB1; HER1; Epidermal growth factor receptor; Proto-oncogene c-ErbB-1; Receptor tyrosine-protein kinase erbB-1 |
Entrez GeneID | 1956 |
Swissprot | P00533 |
clone | 6C9 |
WB Predicted band size | Calculated MW: 134 kDa; Observed MW: 170 kDa |
Host/Isotype | Mouse IgG1 |
Antibody Type | Primary antibody |
Storage | Store at 4°C short term. Aliquot and store at -20°C long term. Avoid freeze/thaw cycles. |
Species Reactivity | Human |
Immunogen | Synthetic Peptide of EGFR |
Formulation | Purified antibody in PBS with 0.05% sodium azide,0.5%BSA and 50% glycerol. |
Application |
|
---|---|
WB | 1/500-1/1000 |
IHC | 1/50-1/100 |
IF/ICC | 1/50-1/200 |
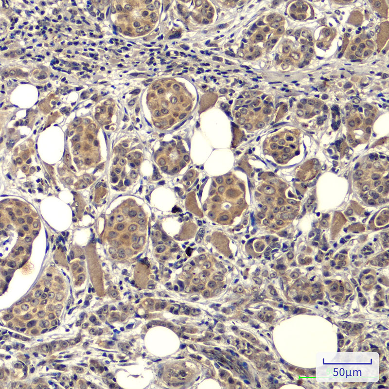
Product Image
- Western blot analysis of EGFR in Hela lysates using EGFR antibody
- Western blot analysis of EGFR in Hela, A549 lysates using EGFR antibody
- Immunofluorescence analysis of EGFR in Hela using EGFR antibody (Left) and DAPI (Right).
- Immunohistochemistry analysis of paraffin-embedded Human breast cancer tissue using EGFR antibody High-pressure and temperature Sodium Citrate pH 6.0 was used for antigen retrieval.
For Reseach Only
Application Key:WB - Western Blot | IHC - Immunohistochemistry | ICC - Immunocytochemistry | FCM - Flow Cytometry | ELISA - Enzyme-linked Immunosorbent Assay | IP - Immunoprecipitation
#P20677

相关产品


