提醒成功

搜索
Mouse Monoclonal Antibody to alpha Smooth Muscle Actin
-
货号:
P20674 -
别名:
ACTA2; ACTSA; ACTVS; GIG46; Actin; aortic smooth muscle; Alpha-actin-2; Cell growth-inhibiting gene 46 protein; α-SMA -
应用:
WB,IHC,IF -
反应种属:
Human,Mouse,Rat -
抗体类型:
Primary antibody -
Swissprot:
P62736 -
规格:
-
数量:
-+ -
说明书:
目录价¥2180

Mouse Monoclonal Antibody to alpha Smooth Muscle Actin
Description |
---|
Involved in the interaction of plaque proteins and intermediate filaments mediating cell-cell adhesion. Defects in ACTA2 are the cause of aortic aneurysm familial thoracic type 6 (AAT6) [MIM:611788]. They are primarily associated with a characteristic histologic appearance known as 'medial necrosis' or 'Erdheim cystic medial necrosis' in which there is degeneration and fragmentation of elastic fibers, loss of smooth muscle cells, and an accumulation of basophilic ground substance. |
Specification |
|
---|---|
Aliases | ACTA2; ACTSA; ACTVS; GIG46; Actin; aortic smooth muscle; Alpha-actin-2; Cell growth-inhibiting gene 46 protein; α-SMA |
Entrez GeneID | 59 |
Swissprot | P62736 |
clone | 1D10 |
WB Predicted band size | Calculated MW: 42 kDa; Observed MW: 42 kDa |
Host/Isotype | Mouse IgG1 |
Antibody Type | Primary antibody |
Storage | Store at 4°C short term. Aliquot and store at -20°C long term. Avoid freeze/thaw cycles. |
Species Reactivity | Human,Mouse,Rat |
Immunogen | Synthetic Peptide of α-SMA |
Formulation | Purified antibody in PBS with 0.05% sodium azide,0.5%BSA and 50% glycerol. |
Application |
|
---|---|
WB | 1/500-1/1000 |
IHC | 1/50-1/100 |
IF/ICC | 1/50-1/200 |
Product Image
- Western blot analysis of alpha Smooth Muscle Actin in αSmooth Muscle Actin in rat Brain, MCF-7, C6 and 3T3 lysates using alpha Smooth Muscle Actin antibody
- Western blot analysis of alpha Smooth Muscle Actin in Hela, A549, HL6, U2OS, C6 lysates using alpha Smooth Muscle Actin antibody
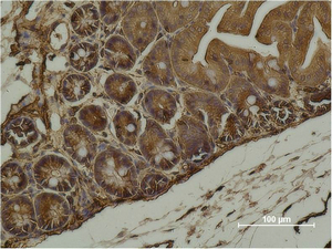
- Immunohistochemistry analysis of paraffin-embedded mouse Cecal Tissue using alpha Smooth Muscle Actin antibody.High-pressure and temperature Sodium Citrate pH 6.0 was used for antigen retrieval.
For Reseach Only
Application Key:WB - Western Blot | IHC - Immunohistochemistry | ICC - Immunocytochemistry | FCM - Flow Cytometry | ELISA - Enzyme-linked Immunosorbent Assay | IP - Immunoprecipitation
#P20674

相关产品


