提醒成功

搜索
Mouse Monoclonal Antibody to alpha Skeletal Muscle Actin
-
货号:
P20670 -
别名:
ACTA1; ACTA; Actin; alpha skeletal muscle; Alpha-actin-1 -
应用:
WB,IP,IHC,IF -
反应种属:
Human,Mouse,Rat -
抗体类型:
Primary antibody -
Swissprot:
P68133 -
规格:
-
数量:
-+ -
说明书:
目录价¥2180

Mouse Monoclonal Antibody to alpha Skeletal Muscle Actin
Description |
---|
Actins are highly conserved proteins that are involved in various types of cell motility and are ubiquitously expressed in all eukaryotic cells. |
Specification |
|
---|---|
Aliases | ACTA1; ACTA; Actin; alpha skeletal muscle; Alpha-actin-1 |
Entrez GeneID | 58 |
Swissprot | P68133 |
clone | 2A5 |
WB Predicted band size | Calculated MW: 42 kDa; Observed MW: 42 kDa |
Host/Isotype | Mouse IgG |
Antibody Type | Primary antibody |
Storage | Store at 4°C short term. Aliquot and store at -20°C long term. Avoid freeze/thaw cycles. |
Species Reactivity | Human,Mouse,Rat |
Immunogen | Synthetic Peptide of α skeletal muscle actin |
Formulation | Purified antibody in PBS with 0.05% sodium azide,0.5%BSA and 50% glycerol. |
Application |
|
---|---|
WB | 1/500-1/1000 |
IP | 1/10-1/20 |
IHC | 1/50-1/100 |
IF/ICC | 1/50-1/200 |
Product Image
- Western blot analysis of alpha Skeletal Muscle Actin in T47D, 3T3, COS7, C6 and Hela lysates using alpha Skeletal Muscle Actin antibody
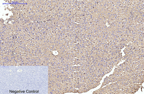
- Immunohistochemistry analysis of paraffin-embedded rat liver tissue using alpha Skeletal Muscle Actin antibody.High-pressure and temperature Sodium Citrate pH 6.0 was used for antigen retrieval.Negative control was used by secondary antibody only.
For Reseach Only
Application Key:WB - Western Blot | IHC - Immunohistochemistry | ICC - Immunocytochemistry | FCM - Flow Cytometry | ELISA - Enzyme-linked Immunosorbent Assay | IP - Immunoprecipitation
#P20670

相关产品


