提醒成功

搜索
Mouse Monoclonal Antibody to PARP1
-
货号:
P20669 -
别名:
PARP1; ADPRT; PPOL; Poly [ADP-ribose] polymerase 1; PARP-1; ADP-ribosyltransferase diphtheria toxin-like 1; ARTD1; NAD(+) ADP-ribosyltransferase 1; ADPRT 1; Poly[ADP-ribose] synthase 1 -
应用:
WB,IHC -
反应种属:
Human,Mouse,Rat -
抗体类型:
Primary antibody -
Swissprot:
P09874 -
规格:
-
数量:
-+ -
说明书:
目录价¥2180

Mouse Monoclonal Antibody to PARP1
Description |
---|
Involved in the base excision repair (BER) pathway, by catalyzing the poly(ADP-ribosyl)ation of a limited number of acceptor proteins involved in chromatin architecture and in DNA metabolism. This modification follows DNA damages and appears as an obligatory step in a detection/signaling pathway leading to the reparation of DNA strand breaks. |
Specification |
|
---|---|
Aliases | PARP1; ADPRT; PPOL; Poly [ADP-ribose] polymerase 1; PARP-1; ADP-ribosyltransferase diphtheria toxin-like 1; ARTD1; NAD(+) ADP-ribosyltransferase 1; ADPRT 1; Poly[ADP-ribose] synthase 1 |
Entrez GeneID | 142 |
Swissprot | P09874 |
clone | 5C2 |
WB Predicted band size | Calculated MW: 113 kDa; Observed MW: 116 kDa |
Host/Isotype | Mouse IgG1 |
Antibody Type | Primary antibody |
Storage | Store at 4°C short term. Aliquot and store at -20°C long term. Avoid freeze/thaw cycles. |
Species Reactivity | Human,Mouse,Rat |
Immunogen | Synthetic Peptide of Cleaved PARP |
Formulation | Purified antibody in PBS with 0.05% sodium azide,0.5%BSA and 50% glycerol. |
Application |
|
---|---|
WB | 1/500-1/1000 |
IHC | 1/50-1/100 |
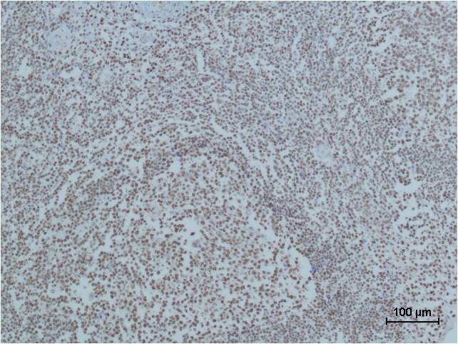
Product Image
- Western blot analysis of PARP1 in Hela, MCF-7 and Jurkat lysates using PARP antibody.
- Western blot analysis of PARP1 in K562, Ramos, Jurkat lysates using PARP (1C2) antibody.
- Western blot analysis of PARP1 in 3T3, Hela lysates using PARP1 antibody
- Immunohistochemistry analysis of paraffin-embedded Human Tonsil Tissue using Cleaved PARP antibody.High-pressure and temperature Sodium Citrate pH 6.0 was used for antigen retrieval.
For Reseach Only
Application Key:WB - Western Blot | IHC - Immunohistochemistry | ICC - Immunocytochemistry | FCM - Flow Cytometry | ELISA - Enzyme-linked Immunosorbent Assay | IP - Immunoprecipitation
#P20669

相关产品


